Autori: Dott. Leonardo Palazzo, Dott. Roberto Meli, Dott. Salvatore Belcastro, Dott. Fulvio Floridi.
La riabilitazione protesico-implantare nell’edentulismo totale rappresenta una sfida operativa di notevole difficoltà a causa delle complesse condizioni di cui è necessario tener conto.
In primo luogo occorre considerare le conseguenze di carattere anatomo-funzionali ed estetiche determinate dalla perdita degli elementi dentali ed evidenziabili sia a livello intra-orale che extra-orale.
A livello intraorale si verifica un riassorbimento dell’osso alveolare, con conseguente riduzione della gengiva aderente, esteriorizzazione dei fasci vascolo-nervosi con conseguenti dolori e parestesie, superficializzazione delle inserzioni muscolari con aumento dell’instabilità protesica ed aumento di volume della lingua.
A livello extra-orale si ha perdita della dimensione verticale scheletrica, tendenza alla terza classe scheletrica per anterotazione della mandibola, scomparsa dell’angolo labio-mentale, assottigliamento del labbro superiore che occuperà una posizione più arretrata, approfondimento del solco naso-labiale ed ipotonia e collasso della muscolatura periorale con modificazione dell’estetica e dell’espressione.
Si verifica, spesso, anche un’alterazione della qualità ossea, con riduzione della sua densità , dovuta alla perdita delle sollecitazioni meccaniche trasmesse sull’osso dai denti naturali.
L’obiettivo della riabilitazione protesica è la sostituzione dei tessuti persi in modo da restituire al paziente un’adeguata funzionalità con un’estetica il più vicino possibile a quella naturale.
Per raggiungere risultati estetici e funzionali soddisfacenti occorre formulare un piano di trattamento che preveda le seguenti tappe: anamnesi, esame obiettivo intraorale ed extraorale, esame radiografico, studio dei modelli.
Queste fasi permettono la scelta del dispositivo protesico più idoneo.
Con l’anamnesi si conosce la storia medica del paziente, si evidenzia la presenza di eventuali controindicazioni alla terapia implantare, ma soprattutto si comprendono le esigenze del paziente di carattere estetico, funzionale e psicologico.
Attraverso l’esame obiettivo extraorale si valuta la simmetria del viso, il profilo facciale, la dimensione verticale, la classe scheletrica, la morfologia delle labbra e la linea del sorriso.
Con l’esame obiettivo intraorale si valutano i tessuti molli, la morfologia ossea macroscopica ed i rapporti intermascellari.
Gli esami radiografici più usati per la valutazione della quantità e della qualità ossea sono: la radiografia endorale, l’ortopanoramica, la teleradiografia latero-laterale del cranio ed il Dentascan.
Il montaggio dei modelli di studio in gesso su articolatore consente di analizzare lo spazio disponibile per la protesi, i rapporti tra le arcate nei tre piani dello spazio e di realizzare la ceratura diagnostica. Questa fornirà informazioni precise sulla forma, l’altezza e la posizione delle corone nonché sul sito ideale di posizionamento dell’impianto.
La ceratura diagnostica permette di realizzare la dima radiologica e di creare un provvisorio per le manovre di carattere estetico e fonetico da trasferire alla protesi definitiva.
Nell’edentulismo totale le scelte terapeutiche sono determinate da:
• l’importanza del riassorbimento osseo
• il rapporto tra le arcate
• la richiesta del paziente
Le opzioni terapeutiche sono:
• overdenture su impianti
• Toronto Bridge
• protesi fissa cementata su impianti.
Nei seguenti casi clinici il piano di trattamento ha previsto una riabilitazione con protesi fissa su impianti.
La protesi fissa su impianti è un ponte fisso supportato da impianti su cui la protesi è avvitata, o più spesso, cementata.
Indicazioni:
• cresta poco riassorbita
• buoni rapporti tra le arcate sia in senso antero-posteriore che verticale e trasversale
• possibilità di inserire gli impianti in corrispondenza dell’emergenza dei denti ed in corrispondenza dei settori posteriori retro-foramina e sottosinusali.
Vantaggi:
• estetica spesso soddisfacente
• ottimi risultati funzionali e psicologici.
Svantaggi:
• in caso di atrofia marcata ed in pazienti con linea del sorriso alta: denti lunghi e problemi estetici
• difficile sostegno delle labbra e problematiche fonetiche.
Case report 1
Paziente di sesso maschile, di anni 50, in cui si evidenzia assenza di numerosi elementi dentali e grave compromissione di quelli residui nell’arcata superiore. Il piano di trattamento prevede l’estrazione degli elementi residui e l’immediato inserimento di impianti, al fine di realizzare una protesi fissa in metallo ceramica.
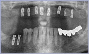
- Fig. 1 – OPT iniziale
- Figg. 2, 3 – Impianti inseriti nel mascellare superiore
- Fig. 3
- Fig. 4 – Opt a 4 mesi dall’intervento chirurgico di posizionamento implantare
- Fig. 5 – Impronta
- Figg. 6, 7 – Prova estetica
- Fig. 7
- Fig. 8 – Prova dei monconi preparati in laboratorio
- Fig. 9 – Prova della sovrastruttura protesica
- Figg. 10, 11 – Risultato estetico finale: si noti l’eccesiva lunghezza dei denti con visibilità di parti metalliche compensate dalla linea del sorriso bassa
- Fig. 11
- Fig. 12 – Follow-up radiografico a 12 mesi dal carico
Case report 2
Paziente, edentulo totale, di anni 55 con buona quantità di osso residuo utilizzabile ai fini implantologici.
Il piano di trattamento prevede una riabilitazione fissa metallo ceramica a supporto implantare su entrambe le arcate.
- Fig. 13 – OPT a 4 mesi dall’intervento chirurgico
- Fig. 14 – Prova dei monconi preparati in laboratorio
- Figg. 15, 16 – Prova estetica
- Fig. 16
- Figg. 17, 18 – Risultato estetico finale. La creazione di una flangia in ceramica rosa riproduce la gengiva e permette di ridurre la lunghezza dentale altrimenti eccessiva
- Fig. 18
Arcata inferiore: posizionamento di 8 impianti Exacone™ e riabilitazione con protesi fissa su impianti.
- Fig. 19 – Impronta
- Figg. 20-22 – Prova estetica in resina
- Fig. 21
- Fig. 22
- Fig. 23 – Prova della sovrastruttura metallica
- Figg. 24, 25 – Risultato estetico finale
- Fig. 25
- Fig. 26 – Follow-up radiografico a 24 mesi dal carico
Realizzazioni protesiche:Â Laboratorio Wilocs S.r.l. – Roma
Bibliografia
• Five-year evaluation of the influence of keratinized mucosa on peri-implant soft-tissue health and stability around implants supporting full-arch mandibular fixed prostheses.
Schrott AR, Jimenez M, Hwang JW, Fiorellini J, Weber HP.Clin Oral Implants Res. 2009 Oct;20(10):1170-7. Epub 2009 Aug 30.
• Endodontics or implants? A review of decisive criteria and guidelines for single tooth restorations and full arch reconstructions.
Zitzmann NU, Krastl G, Hecker H, Walter C, Weiger R.Int Endod J. 2009 Sep;42(9):757-74. Epub 2009 Jun 22.
• Prospective clinical evaluation of 1920 Morse taper connection implants: results after 4 years of functional loading.
Mangano C, Mangano F, Piattelli A, Iezzi G, Mangano A, La Colla L. Clin Oral Implants Res. 2009 Mar;20(3):254-61.
• The classification and clinical application of the serial extraction protocol for full- and partial-arch fixed prostheses.
Cavallaro JS Jr.Pract Proced Aesthet Dent. 2008 Jul;20(6):377-82.
• Retrospective analysis of early and delayed loading of full-arch mandibular prostheses using three different implant systems: clinical results with up to 5 years of loading. Eliasson A, Blomqvist F, Wennerberg A, Johansson A. Clin Implant Dent Relat Res. 2009 Jun;11(2):134-48. Epub 2008 Apr 1.
• Metal-ceramic restorations-custom characterization with pink porcelain. Garcia LT, Verrett RG. Compend Contin Educ Dent. 2004 Apr;25(4):242, 244, 246 passim


























