Autore: Dott. Corrado Cerino.
Paziente di sesso maschile di anni 46. Si presenta all’osservazione nel dicembre 2008 per presenza di dolenzia in regione 1.2 e 2.2. All’esame OPT (fig. 1) si evidenzia la presenza di lesioni periapicali su entrambi gli elementi dentari in questione, con sospetta presenza di lesione cistica in regione 2.2.
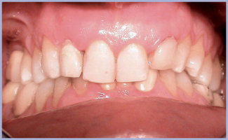
All’esame obiettivo (figg. 2, 3, 4) si evidenzia presenza di elementi dentari precedentemente trattati endodonticamente ed incapsulati. In regione vestibolare si nota, a carico di entrambi gli elementi dentari, presenza di tragitto fistoloso con presenza di pus. Si decide di intervenire, per il momento, solo sugli elementi dentari in questione. Vista la pessima condizione dei monconi protesici si opta per l’estrazione degli stessi e l’eventuale inserimento, nella stessa seduta, di impianti osteointegrabili.
A gennaio 2009, eseguite le estrazioni in regione 1.2 e 2.2 e l’asportazione della lesione in regione 2.2 (fig. 5), si esegue un’accurata pulizia degli alveoli, cercando di preservare al massimo le corticali vestibolare e palatale che risultano alquanto integre, ad eccezione di una lieve fenestratura in prossimità della regione periapicale del 2.2.
Si procede all’inserimento di impianti Exacone® diametro 4,1, lunghezza 10 mm in regione 1.2 con tecnica flapless, e diametro 4,1, lunghezza 12 mm in regione 2.2, avendo cura di coprire la fenestrazione con osso autologo prelevato dalle frese e ricoprendo il tutto con membrana in collagene.
Essendo stati inseriti sotto cresta, si decide di posizionare sugli impianti un tappo di guarigione standard da 3 mm di lunghezza (fig. 6), in modo da ottenere la completa guarigione dei tessuti molli al di sopra degli impianti ed al fine di sfruttare sin dal primo momento i vantaggi del platform switching.
Nella stessa seduta si ricostruiscono in composito le porzioni coronali degli elementi estratti e si fissano agli elementi contigui mediante resina composita.
Dopo 4 mesi si procede con la seconda fase chirurgica (fig. 7), avendo cura di realizzare un’incisione semicircolare, riposizionando il tessuto in eccesso sul versante vestibolare (fig. 8) e si posizionano dei provvisori realizzati in studio.
Dopo circa 10 gg, ottenuta una buona guarigione dei tessuti molli, si posizionano i transfer sugli impianti e se ne rileva un’impronta (fig. 9), il laboratorio prepara i monconi (standard dritto per 1.2 e standard angolato di 15° per 2.2) e le strutture che dovranno poi essere ceramizzate (fig. 10). Una volta pronti gli abutment, si procede ad inconarli negli impianti e si cementano i provvisori in resina realizzati in laboratorio (figg. 11, 12), al fine di ottenere un ottimale condizionamento dei tessuti molli periimplantari.
Alla fine del mese di giugno, ottenuta la stabilità dei tessuti periimplantari (fig. 13) si registra un’impronta di posizione ed il laboratorio completa il lavoro (fig. 14).
Vista la pessima condizione degli elementi dentari estratti, nonché la presenza dei tragitti fistolosi in corrispondenza degli stessi, nonostante residui una perdita della bozza ossea in corrispondenza degli elementi in questione, il paziente si è ritenuto pienamente soddisfatto del risultato estetico accettabilissimo, anche riguardo ai tessuti molli periimplantari.
All’esame radiografico endorale (figg. 15, 16), effettuato nel mese di novembre (dopo 10 mesi dall’inserimento degli impianti), si evince l’ottima stabilità dell’osso in corrispondenza del collo implantare, merito sicuramente del posizionamento in prima istanza dei tappi di guarigione.
Il controllo clinico e radiografico ad 1 anno evidenzia come il risultato estetico ottenuto sia stabile grazie al perfetto mantenimento dell’osso periimplantare e all’eccellente aspetto dei tessuti molli (figg. 17, 18, 19).
- Fig. 1 – Ortopantomografia pretrattamento
- Fig. 2 – Situazione iniziale
- Fig. 3 – Dettaglio emiarcate destre
- Fig. 4 – Dettaglio emiarcate sinistre
- Fig. 5 – Radice del 2.2 con relativa lesione asportata
- Figg. 6a, 6b – Comparazione dei siti pre e post-trattamento
- Fig. 6b
- Fig. 7 – Visione occlusale dei siti implantari al momento della seconda chirurgia
- Fig. 8 – Riposizionamento dei tessuti molli sul versante vestibolare
- Fig. 9 – Transfer ritenuti nell’impronta
- Fig. 10 – Particolare dei modelli con strutture provate su abutment e gengiva in silicone
- Fig. 11 – Condizionamento dei tessuti con provvisori realizzati in laboratorio cementati su abutment definitivi
- Fig. 12 – Visione occlusale dei provvisori del laboratorio
- Fig. 13 – Avvenuto condizionamento dei tessuti molli periimplantari
- Fig. 14 – Elementi definitivi cementati
- Fig. 15 – Controllo radiografico a 10 mesi di 1.2
- Fig. 16 – Controllo radiografico a 10 mesi di 2.2
- Fig. 17 – Controllo radiografico a 1 anno dei due impianti
- Fig. 18 – Controllo clinico a 1 anno di 1.2
- Fig. 19 – Controllo clinico a 1 anno di 2.2
Realizzazioni protesiche: Laboratorio odontotecnico Dental Creation s.n.c. di Attilio Sommella e Raffaele Nicotera – Napoli




















