Autore: Dr. Stefano Bianchi.
Sempre più spesso, nelle riabilitazioni con impianti, ci troviamo di fronte pazienti con l’aspettativa di riavere i “denti fissi” senza passare attraverso protesi provvisorie di tipo mobile.
Per questo motivo, cercando di assecondare le aspettative di questi pazienti, gli interventi di implantologia che eseguo sono orientati sempre più frequentemente verso il carico immediato.
Senza dilungarmi su eventuali protocolli da seguire per l’“implantologia a carico immediato”, voglio mostrare, con un caso clinico, una variante ai soliti provvisori cementati, che qualche volta possono creare problemi soprattutto se si decementano nelle prime fasi di guarigione.
Caso clinico
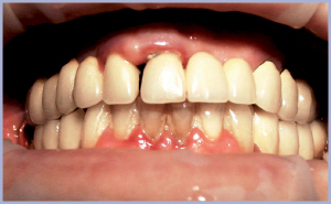
La paziente, di 58 anni, ha una vecchia protesi fissa circolare superiore (fig. 1); la condizione parodontale è talmente compromessa (figg. 2, 3) da non permettermi di ripetere una riabilitazione fissa sui pilastri naturali. Concordo allora con la paziente una riabilitazione protesica fissa su impianti a carico immediato.
Dopo l’estrazione di tutti i pilastri (figg. 4, 5) ho immediatamente inserito 6 impianti Exacone® 4,1×12 mm in posizione 11 – 13 – 15 – 22 – 23 – 25 (fig. 6); ho scelto di evitare il grande rialzo del seno mascellare e di inclinare gli impianti distali, in modo da ridurre al minimo l’invasività del mio intervento.
Ho quindi montato i monconi per barra che, con le diverse inclinazioni con cui sono fabbricati, mi hanno permesso di parallelizzare facilmente i 6 impianti (fig. 7).
Dopo aver avvitato le cappette auree sui monconi per barra ho ribasato il provvisorio precedentemente costruito in laboratorio (figg. 8, 9). Quindi, dopo essere stata rifinita e lucidata, la struttura viene avvitata sui monconi per barra che fungono da monconi provvisori (figg. 10, 11).
Dopo 15 giorni (figg. 12, 13) ho rimosso le suture.
A tre mesi dall’intervento (fig. 14) è stata eseguita la radiografia di controllo che non mostra più la presenza degli alveoli ma una perfetta riformazione di osso intorno agli impianti (fig. 15).
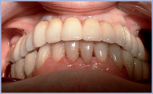
Decido allora di smontare il provvisorio, rimuovere i monconi per barra e prendere l’impronta per la protesi definitiva (fig. 16), che dopo le dovute prove ho cementato su monconi per protesi fissa opportunamente fresati in laboratorio (figg. 17-24).
- Fig. 1
- Fig. 2
- Fig. 3
- Fig. 4
- Fig. 5
- Fig. 6
- Fig. 7
- Fig. 8
- Fig. 9
- Fig. 10
- Fig. 11
- Fig. 12
- Fig. 13
- Fig. 14
- Fig. 15
- Fig. 16
- Fig. 17
- Fig. 18
- Fig. 19
- Fig. 20
- Fig. 21
- Fig. 22
- Fig. 23
- Fig. 24
Laboratorio protesico: Laboratorio Odontotecnico Gianema di Gennaro Esposito – Giugliano in Campania (Na)
























