Autori: Dott. Alberto Frezzato, Dott.ssa Irene Frezzato.
Nell’ottica di un’implantologia protesicamente ed esteticamente guidata, spesso dobbiamo adottare delle procedure di condizionamento di un sito implantare che risulti ipotrofico per altezza e spessore.
Nel caso in esame tecniche osteotomiche di espansione apicale del sito vengono associate a tecnica rigenerativa crestale, trasversale e verticale, mediante utilizzo di membrana non riassorbibile e innesto di bone chips a prelievo iuxta-implantare.
Il ripristino di un’area implantare di morfologia adeguata permette l’impiego di impianti di misura maggiore ed in posizione corretta, al fine dell’ottenimento di una migliore funzione e di una piacevole estetica.
La gestione dei tessuti molli mira ad ottenere un volume vestibolare adeguato, in armonia con i tessuti vicini, ed una quantità adeguata di mucosa cheratinizzata per aiutare il paziente nel mantenimento dell’igiene quotidiana.
Rimane sempre indispensabile, a fini estetici, valutare il sito implantare in relazione alla posizione del labbro.
La paziente di anni 66 si presenta alla nostra osservazione con protesi 6+3+ fallita per lesione parodontale irreversibile sul pilastro 3+ (fig. 1). Si procede all’estrazione con curettage della ferita del 3+. In sede post-estrattiva 3+ è presente una residua atrofia ossea verticale ed orizzontale.
La sella in sede 5+ si presenta di ridotta altezza (fig. 2).
Il piano di trattamento prevede la riabilitazione del 1° quadrante mediante protesi implanto-supportata 5+3+.
Si mantiene il pilastro naturale 6+ come sostegno della protesi preesistente, per tutto il periodo di guarigione.
Tale pilastro rimarrà anche alla fine del trattamento, ricoperto dalla corona metallo-resina recuperata dalla preesistente protesi.
Le caratteristiche della sede implantare comportano la scelta di tecniche di condizionamento del sito.
Si esegue ampliamento del sito in sede 3+, mediante tecnica osteotomica OSFE (Osteotomy Sinus Floor Elevation), e rigenerativa verticale ed orizzontale della cresta, mediante innesto di bone chips a prelievo iuxta-implantare e membrana Goretex non riassorbibile fissata con due chiodini.
In sede 5+ si esegue espansione verticale del sito mediante tecnica osteotomica BAOSFE (Bone Added Osteotomy Sinus Floor Elevation). L’osso risulta di qualità 3.
Si posizionano due impianti Leone a connessione conico-esagonale Exacone®: in sede 3+ fixture 4,1 x 12 mm, in sede 5+ fixture 4,1 x 10 mm.
L’altezza ossea in sede 5+ risulta minore di 8 mm e si espande verticalmente il sito mediante BAOSFE (figg. 3-11).
A distanza di 5 mesi si procede al rientro chirurgico, previo controllo radiografico (figg. 12, 13).
Si esegue un lembo a tutto spessore crestale (fig. 14), l’esposizione e la rimozione della membrana, la sostituzione delle viti di copertura con viti di guarigione, la sezione longitudinale del lembo con ribaltamento della parte interna a “roll-flap modificato”. Al termine si applicano i punti di sutura (figg. 15-19).
Dopo guarigione dei tessuti molli (figg. 20, 21), si procede alla presa delle impronte (fig. 22), al confezionamento ed alla consegna della protesi finale (figg. 23-27).
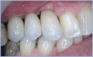
Il controllo ad un anno evidenzia la maturazione tessutale con un andamento festonato della mucosa peri-implantare (fig. 28).
- Fig. 1
- Fig. 2
- Fig. 3
- Fig. 4
- Fig. 5
- Fig. 6
- Fig. 7
- Fig. 8
- Fig. 9
- Fig. 10
- Fig. 11
- Fig. 12
- Fig. 13
- Fig. 14
- Fig. 15
- Fig. 16
- Fig. 17
- Fig. 18
- Fig. 19
- Fig. 20
- Fig. 21
- Fig. 22
- Fig. 23
- Fig. 24
- Fig. 25
- Fig. 26
- Fig. 27
- Fig. 28
Realizzazioni protesiche: Laboratorio odontotecnico Ceramodent di Paolo Morbiato e C. – Padova




























