Autore: Dr. Marino Miccini.
Paziente di sesso femminile di anni 50.
La foto 1 mostra la situazione pre-operatoria dove si evidenzia la grave situazione parodontale del 1.7 e del 1.4 che vengono estratti.
Si procede quindi all’inserimento di un impianto post-estrattivo in regione 1.4 (figg. 2-4).
Si pratica la corticotomia della parete vestibolare del seno mascellare per effettuare il grande rialzo dello stesso (figg. 4, 5). Sono da sottolineare le ridotte dimensioni della botolina di accesso al seno.
Si asporta la corticale, mettendo a nudo la mucosa endosinusale (fig. 6), che viene sollevata senza lacerazioni (fig. 7).
Si inserisce l’impianto in regione 1.6 mantenendo il parallelismo con l’impianto in regione 1.4 (figg. 8, 9).
Si riempie la nuova cavità sinusale con materiale di sintesi (fig. 10) e si riposiziona la botolina di accesso al seno (fig. 11).
Si esegue una sutura a punti staccati (fig. 12).
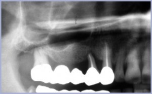
Si effettua un controllo con RX a 6 mesi dall’inserimento degli impianti (fig. 13).
Si termina il lavoro secondo le procedure standard con trasferimento di impronta in laboratorio.
Si cementa, infine, la protesi definitiva sopra i monconi (fig. 14).
- Fig. 1
- Fig. 2
- Fig. 3
- Fig. 4
- Fig. 5
- Fig. 6
- Fig. 7
- Fig. 8
- Fig. 9
- Fig. 10
- Fig. 11
- Fig. 12
- Fig. 13
- Fig. 14
Realizzazioni protesiche: Laboratorio Odontotecnico di Mirco Rossi – Montesilvano (PE)














