Autori: Dott.ssa Irene Frezzato, Dott. Alberto Frezzato.
La perdita di un elemento dentario frontale superiore rappresenta una grave menomazione funzionale ed estetica. La sostituzione dell’elemento perduto rappresenta ancora oggi una sfida clinica che comporta una attenta valutazione delle numerose variabili in gioco, legate al paziente, al sistema implantare e all’operatore. Particolare attenzione va posta alle variabili proprie del paziente, sia di carattere generale (genetica, biotipo parodontale, compliance), sia di carattere locale (caratteristiche del sito, esposizione gengivale con labbro a riposo e a sorriso pieno).
Viene presentato un case report relativo ad una giovane paziente di 36 anni che si presenta alla nostra osservazione per frattura coronale dell’elemento 11, oggetto in passato di trattamento endodontico “inadeguato” e di ricopertura con corona metallo-ceramica, che appare sovracontornata, esteticamente non integrata nell’ambito dell’arcata, cui si associa un margine gengivale ritirato e di colorito più scuro rispetto agli elementi naturali vicini (figg. 1-2). La frattura coinvolge l’ampiezza biologica (figg. 3-5). La radice appare malacica e quindi inadatta ad un recupero con estrusione ortodontica, ritrattamento canalare, restauro corono-radicolare e corona protesica.
L’esame clinico mostra un biotipo parodontale spesso e scarsamente festonato. Il labbro copre il margine gengivale sia a riposo che durante il sorriso.
Il disagio della paziente per la perdita della corona dell’incisivo è notevole e le aspettative sul risultato del trattamento appaiono elevate (fig. 6).
Le soluzioni più tradizionali vengono illustrate e ritenute non idonee dalla paziente.
Pertanto si formula un piano di trattamento che comprende l’estrazione e la sostituzione implantoprotesica dell’elemento non recuperabile.
Di fronte alla evenienza di sostituzione implantoprotesica di un elemento dentale la scelta del clinico riguarda il timing dell’impianto1. L’attenta disamina delle caratteristiche dell’alveolo, prima e dopo l’estrazione, guidano la scelta. Al sondaggio pre-estrattivo i picchi ossei interprossimali appaiono conservati, e così la corticale vestibolare e palatina (figg. 7-9). Questo permette di scegliere una procedura di implantologia post-estrattiva immediata.
Noi sappiamo che dopo l’inserimento di un impianto si verifica una contrazione tissutale, quantificabile in circa 1 mm. Nel caso esaminato ci troviamo in presenza di una recessione gengivale e quindi si pone la necessità di implementare la gengiva marginale pre-operatoriamente. Questo si può ottenere con una Forced Eruption, tramite dispositivi ortodontici anche semplici e non visibili. La non accettazione di tale trattamento ha comportato la scelta di una procedura più semplice come “l’aumento spontaneo di gengiva in situ” secondo Langer2 (figg. 10, 11). La Langer Tecnique consta nel fresaggio, mediante rosetta multilama o pallina diamantata, della porzione fratturata di radice fino a portarla a livello del margine osseo. Si attendono alcune settimane durante le quali avviene una crescita spontanea della gengiva marginale (figg. 12, 13). Durante tale periodo un provvisorio mobile, tipo scheletrato con ganci, permette alla paziente una vita di relazione accettabile (figg. 14, 15). Dopo quattro settimane si procede alla estrazione radicolare atraumatica (fig. 16) cui segue un alveolar mapping, che mostra l’integrità alveolare (Classe 1 secondo Salama et al., Classe 1 secondo Tarnow et al.) (figg. 17-19). Si posiziona quindi un impianto post-estrattivo immediato (Exacone® ø 4,1 x L 12 mm), dopo preparazione osteotomica del sito (fig. 20).
Noi sappiamo che l’impianto post-estrattivo immediato è di per sé procedura insufficiente ad evitare la contrazione ossea, soprattutto del buccal plate3. Quindi si procede a riempire il gap impianto-parete alveolare mediante bioinnesto. Si utilizza MBCP+ * con granulometria 0,5-1 mm. Il biomateriale funziona da scaffold per l’organizzazione del coagulo e, grazie al lento processo di riassorbimento, contrasta la contrazione tissutale post-estrattiva (fig. 21).
Al posizionamento tri-dimensionale dell’impianto4, segue una valutazione circa la stabilità primaria che appare ottima. Si connette direttamente un tappo di guarigione, che deborda di poco dal margine gengivale e si ricopre l’innesto con una spugna di collagene.
La paziente porta il provvisorio mobile per tutto il periodo di guarigione.
Questo, dopo circa 3 mesi, viene sostituito da un provvisorio “estemporaneo” preparato direttamente alla poltrona, mediante un tappo di guarigione di lunghezza 7 mm, ricoperto in composito e sagomato a forma di corona. La modifica del provvisorio in composito serve da guida alla maturazione dei tessuti molli fino al raggiungimento di una adeguata festonatura gengivale (figg. 22, 23). Raggiunta la maturazione dei tessuti molli, si connette il moncone Exacone® (figg. 24-26) e si cementa la corona definitiva in oro-ceramica (fig. 27). Il manufatto protesico appare esteticamente integrato nell’arcata (figg. 28, 29) ed il sorriso risulta armonico e piacevole (figg. 30, 31). Il raffronto fra le immagini pre e post-trattamento soddisfa curante e paziente (figg. 32-35).
Al controllo a 18 mesi si apprezza salute e stabilità tissutale, armonia nella festonatura gengivale, papille trofiche, buona mimesi dell’unità dento-gengivale (figg. 36, 37). Il controllo radiografico conferma il mantenimento del livello osseo e dei picchi ossei interprossimali (fig. 38).
Il caso andrà monitorato nel tempo con controlli clinico-radiografici annuali.
L’attenta valutazione di tutte le variabili del caso può portare ad un risultato funzionale ed estetico immediato e nel tempo. Sicuramente le caratteristiche proprie dell’impianto ed, in particolare, il tipo di connessione rappresentano un fattore chiave nel raggiungimento del risultato.
- Figg. 1, 2 – Quadro clinico iniziale
- Fig. 2
- Figg. 3, 4, 5 – Frattura di 11, coinvolgimento dell’ampiezza biologica
- Fig. 4
- Fig. 5
- Fig. 6 – Sorriso dopo la frattura
- Figg. 7, 8, 9 – Sondaggio pre-estrattivo
- Fig. 8
- Fig. 9
- Figg. 10, 11 – Langer Technique
- Fig. 11
- Figg. 12, 13 – Incremento della gengiva marginale dopo 4 settimane
- Fig. 13
- Fig. 14 – Provvisorio mobile su modello
- Fig. 15 – Provvisorio mobile in situ
- Figg. 16, 17, 18 – Estrazione atraumatica e mappaggio alveolare
- Fig. 17
- Fig. 18
- Fig. 19 – Preparazione osteotomica del sito implantare
- Figg. 20, 21 – Innesto di biomateriale
- Fig. 21
- Figg. 22, 23 – Condizionamento mucoso tramite provvisorio in composito su tappo di guarigione
- Fig. 23
- Figg. 24, 25, 26 – Connessione del moncone
- Fig. 25
- Fig. 26
- Fig. 27 – Manufatto protesico su modello
- Figg. 28, 29 – Protesi definitiva
- Fig. 29
- Figg. 30, 31 – Sorriso della paziente
- Fig. 31
- Figg. 32, 33 – Raffronto fra quadro iniziale e di fine trattamento
- Fig. 33
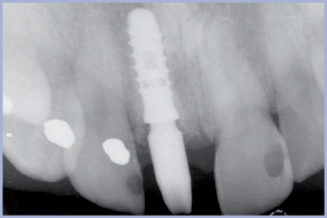
- Figg. 34, 35 – Raffronto radiografico fra quadro iniziale e di fine trattamento
- Fig. 35
- Fig. 36 – Controllo a 18 mesi
- Fig. 37 – Estetica a 18 mesi
- Fig. 38 – Radiografia endorale di controllo a 18 mesi
Bibliografia:
1) Funato A, Salama MA, Ishikawa T, Garber DA, Salama H. Timing, positioning, and sequential staging in esthetic implant therapy: a four-dimensional
pespective. Int J Periodontics Restorative Dent 2007;27: 313–23
2) Langer B. The esthetic management of dental Implants: spontaneous in situ gingival augmentation. Chapter 16; 223-24. Da Myron Nevins, Implant
Therapy, Quintessenza 2004
3) Araújo MG, Sukekava F, Wennström JL, Lindhe J. Ridge alterations following implant placement in fresh extraction sockets: an experimental study in
the dog. J Clin Periodontol 2005; 32: 645-52
4) Grunder U, Gracis S, Capelli M. Influence of the 3-D bone-to-implant relationship on esthetics. Int J Periodontics Restorative Dent. 2005; 25:113-19
Realizzazioni protesiche: Laboratorio odontotecnico Ceramodent di Paolo Morbiato e C. – Padova






































