Autore: Dott. Vanis Fanton.
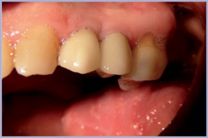
Si è presentata alla mia osservazione una paziente di anni 64 recante fistola vestibolare, espressione di lesione osteolitica a livello di 24 pilastro di ponte a sbalzo su 25 (fig. 1). Eseguite le indagini radiologiche di routine, in profilassi antibiotica con Amoxicillina, si procede all’estrazione di 24, a cistectomia totale previa rimozione del ponte. Trascorse 9 settimane, in anestesia loco regionale vestibolare superiore sinistra da 23 a 27 e palatina con Carbocaina 2%, si allestisce un lembo a busta mucoperiosteo ad incisione crestale da 23 a 26, con mini scarichi iuxtapapillari (fig. 2).
Il reperimento del tavolato osseo rigenerato permette il posizionamento di due impianti Exacone® del diametro di 4.1 mm e di lunghezza scalare, attraverso l’utilizzo sequenziale delle frese previste del sistema Leone. In irrigazione di fisiologica si esegue l’allestimento dei tunnel implantari realizzando “centraggio corticale” con sfera diamantata montata su apparecchiatura piezoelettrica (Satelec®), mentre attraverso l’utilizzo della fresa pilota e dei calibri e lunghezze prescelte si procede al posizionamento sia delle viti implantari (figg. 3, 4) sia a quello dei tappi di guarigione (fig. 5). Si esegue toeletta chirurgica, radiologia postoperatoria del sito chirurgico (fig. 6) e sutura con punti staccati al fine di agevolare la platform switching (fig. 7).
La rimozione della sutura avviene dopo la decima giornata (figg. 8, 9), la paziente viene controllata per 2 mesi ad intervalli di 3 settimane, quindi si scelgono i monconi utilizzando i simulatori dedicati. Si inconano pertanto i monconi che vengono rifiniti con turbina e frese per il titanio Komet (figg. 10-11). Si rilevano le impronte per il modello master, l’antagonista e si applica un provvisorio (figg. 12-14); viene rilevata la relazione intermascellare tramite arco facciale che permette la realizzazione di due ceramiche integrali singole (figg. 15-17).
Alla indagine radiologica di controllo (fig. 18) si evidenziano dei “plus” ossei al di sopra del collo di ciascun impianto, caratteristica di questo sistema implantare. Anche l’estetica e la rigenerazione del tessuto parodontale marginale, oltre l’acquisita funzione masticatoria, è ritenuta soddisfacente dalla paziente.
- Fig. 1
- Fig. 2
- Fig. 3
- Fig. 4
- Fig. 5
- Fig. 6
- Fig. 7
- Fig. 8
- Fig. 9
- Fig. 10
- Fig. 11
- Fig. 12
- Fig. 13
- Fig. 14
- Fig. 15
- Fig. 16
- Fig. 17
- Fig. 18
Realizzazioni protesiche: Laboratorio odontotecnico Labordent di Maria Rosa Bertero – Caselle Torinese (To)


















