Autore: Dr. Leonardo Targetti
In questo caso risolto con una procedura inconsueta di GBR (Guided Bone Regeneration) si sono mantenuti i concetti base di ricerca della stabilità primaria della fixture nell’osso, l’utilizzo di bone chips e materiale da riempimento, l’utilizzo di una membrana per ricercare l’effetto tenda. Si è invece inserita una variante della tecnica tradizionale che prevede l’utilizzo di un tappo di guarigione transmucoso e quindi una tecnica monofasica. Tale tecnica sembra consentire un valido ancoraggio per i tessuti molli, per cercare di contenere al massimo la perdita degli stessi e nello stesso tempo favorire il loro condizionamento permettendone la maturazione senza il secondo rientro chirurgico.
Paziente maschile di 55 anni con grave perdita ossea in zona 14 dovuta a precedenti trattamenti sull’elemento stesso: pregressa apicectomia eseguita 7 anni prima e successiva mobilizzazione dell’elemento prima della perdita.
Clinicamente l’impianto è osteointegrato per la stabilità , per il suono metallico alla percussione e per l’indagine radiografica. I tessuti si presentano con un aspetto sano e senza visibili perdite in altezza o in larghezza.
- Fig. 1 – Visione della zona 14 vestibolare
- Fig. 2 – Particolare
- Fig. 3 – Incisione del lembo per GBR vestibolare
- Fig. 4 – Scollamento del lembo
- Fig. 5 – Visione della perdita ossea
- Fig. 6 – Utilizzo delle frese a basso numero di giri senza irrigazione per il recupero dei bone chips
- Fig. 7 – Inserimento di un impianto Ø 4,1 mm lunghezza 14 mm
- Fig. 8 – Ricerca della stabilità primaria con l’utilizzo di un cricchetto e del driver per impianto
- Fig. 9 – Particolare dell’impianto con inserimento endocrestale
- Fig. 10 – La membrana riassorbibile in collagene suino bi-strato (Bio-Gide®) è stata forata
- Figg. 11, 12 – Il foro è stato praticato per fissare la membrana al tappo di guarigione Ø 4,1 mm altezza 7 mm
- Fig. 12
- Fig. 13 – Riempimento del difetto con bone chips e osso bovino (Bio-Oss®)
- Fig. 14 – Copertura del difetto con la membrana
- Fig. 15 – Sutura del lembo intorno al tappo di guarigione
- Fig. 16 – L’ancoraggio del tessuto attorno al tappo di guarigione in titanio
- Figg. 17, 18 – Guarigione dei tessuti a 15 giorni
- Fig. 18
- Figg. 19, 20 – Guarigione a 6 mesi dei tessuti con tappo
- Fig. 20
- Fig. 21 – Controllo radiografico a 6 mesi
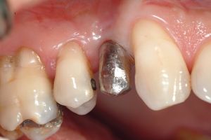
- Fig. 22 – Guarigione a 6 mesi dei tessuti senza tappo
- Fig. 23 – Prova del moncone
- Fig. 24 – Prova della cappetta
- Fig. 25 – Prova della cappetta
- Fig. 26 – La protesi finita
Realizzazioni protesiche:Â Laboratorio Picchi, Perugi e Santoni di Petroni Danilo & C. s.n.c., di Firenze


























