Autori: Dott. Salvatore Belcastro, Dott.ssa. Paola Floridi, Dott. Leonardo Palazzo, Dott. Mario Guerra.
L’estetica nei settori frontali del mascellare superiore rappresenta indubbiamente la più grande sfida per chi si occupa di implantologia osteointegrata.
Il raggiungimento predicibile di buoni risultati estetici, paragonabili a quelli della dentatura naturale sana, dipende da diversi fattori, non sempre facili da controllare; potremmo schematicamente distinguere tre gruppi di fattori, quelli diagnostico-prognostici, quelli chirurgici ed infine quelli protesici.
Una adeguata diagnosi, che tenga conto delle variabili anatomo-funzionali del sito edentulo e del paziente nel suo complesso, rappresenta il prerequisito indispensabile per una corretta pianificazione del trattamento e per evitare spiacevoli fallimenti dal punto di vista estetico. Numerosi sono i fattori diagnostici di cui bisogna tener conto e vanno da una corretta valutazione dimensionale dello spazio edentulo, ai rapporti con l’arcata antagonista, alle caratteristiche quali-quantitative dei tessuti duri e molli, alla valutazione del grado di atrofia, del biotipo parodontale, alla forma e allo stato restaurativo dei denti adiacenti. Questi ed altri fattori diagnostici quali la linea del sorriso, le condizioni di igiene orale ed il fumo sono solo alcuni degli elementi che bisogna accuratamente valutare ancor prima di procedere al posizionamento implantare. Un corretto iter diagnostico permette da un lato di intercettare precocemente fattori prognostici sfavorevoli e dall’altro, qualora le condizioni e l’abilità dell’operatore lo consentano, di mutare le condizioni sfavorevoli ricorrendo, ad esempio ad interventi rigenerativo-ricostruttivi che in alcuni casi devono precedere il posizionamento implantare.
L’accurata diagnosi sarà seguita dal corretto posizionamento implantare nelle tre dimensioni dello spazio che tenga conto delle regole, oramai acquisite dalla letteratura scientifica internazionale, quali il rispetto della corticale vestibolare, che tende inevitabilmente a riassorbirsi, ed il giusto posizionamento verticale rispetto alla giunzione amelo-cementizia dei denti adiacenti. In questo contesto il posizionamento implantare guidato, che tenga conto delle esigenze protesiche ed estetiche, così come la chirurgia post-estrattiva immediata flapless ed il carico immediato, se le condizioni lo permettono, sono tutte procedure che più facilmente consentono il raggiungimento di eccellenti risultati estetici.
Le procedure protesiche infine rappresentano il giusto corollario al lavoro svolto nelle precedenti fasi e consentono, tramite l’utilizzo delle giuste tecniche e dei giusti materiali, il completamento del caso. L’utilizzo di materiali ad alta valenza estetica quali la zirconia o le ceramiche integrali può ulteriormente migliorare i risultati purché non si affidi, come purtroppo spesso succede, a questi ultimi l’ingrato ed impossibile compito di realizzare il “miracolo estetico” avendo trascurato le fasi precedenti.
Tutto ciò finora discusso serve per ottenere quella che potremmo definire “estetica della consegna”. Il mantenimento nel tempo dell’estetica passa però attraverso la stabilità dei tessuti di sostegno, sia duri che molli.
In questo contesto la connessione conometrica, in virtù della drastica riduzione del gap moncone-impianto e dell’ottimo mantenimento del livello osseo marginale e conseguentemente del volume e della qualità dei tessuti molli peri-implantari facilita il mantenimento nel tempo dei risultati estetici ottenuti.
Le immagini che seguono sono relative ad un caso clinico esemplificativo che riassume quanto finora enunciato.
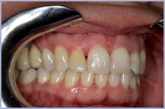
Si tratta di una paziente di sesso femminile di 45 anni in buone condizioni di salute generale con necessità di sostituire l’incisivo laterale superiore di destra per motivi parodontali (figg. 1-2). Le immagini cliniche prima dell’estrazione dell’elemento dentale in questione e del contestuale posizionamento implantare mostrano ottime condizioni di igiene orale ed una buona salute gengivale; la radiografia ortopanoramica (fig. 3) mostra gli esiti positivi di precedenti interventi implantoprotesici e, relativamente all’area da trattare, una notevole perdita ossea, in particolare del picco interdentale tra gli elementi 11 e 12.
Le buone condizioni dei tessuti molli e la presenza di una buona quantità di osso basale residuo ci indirizzano verso un posizionamento implantare post-estrattivo immediato con carico immediato. L’estrazione atraumatica del 12 (figg. 4-7) è stata seguita, dopo adeguato sondaggio dei picchi ossei, dalla preparazione del sito implantare rispettando la corticale vestibolare (figg. 8-10). Veniva dunque inserito un impianto di 4,1 mm di diametro e 12 mm di lunghezza (figg. 11-13); l’ottima stabilità primaria consentiva l’esecuzione di un carico immediato ribasando, con resina a freddo autopolimerizzante, una corona in resina acrilica precedentemente preparata su un tappo di guarigione standard gh 7 mm facente funzione di moncone provvisorio.
Questa tecnica, oramai impiegata su larga scala dal nostro gruppo con ottimi risultati permette, per gli elementi singoli, l’installazione di un provvisorio senza l’utilizzo del cemento; la procedura prevede la realizzazione di un provvisorio completamente passivo su un tappo di guarigione personalizzato sul quale sono state fatte delle ritenzioni, la ribasatura del provvisorio direttamente sul tappo e l’utilizzo della resina (figg. 14-22). È importante, già in questa fase, attribuire all’elemento protesico il giusto profilo d’emergenza in modo da garantire il giusto sostegno dei tessuti molli evitandone il collassamento (fig. 23).
L’aspetto clinico del manufatto, ad una settimana dall’intervento, mostra già un’ottima estetica ed una eccellente guarigione dei tessuti molli (fig. 24).
A tre mesi dal posizionamento implantare (fig. 25), si procedeva, come di consueto, alla rimozione del manufatto provvisorio (fig. 26) ed alla rilevazione dell’impronta per l’esecuzione del manufatto definitivo (figg. 27-28); come già accennato, il corretto profilo d’emergenza del manufatto impiegato nel carico immediato permetteva di conservare la normale festonatura gengivale, elemento quest’ultimo impossibile da ottenere utilizzando un normale tappo di guarigione.
A distanza di una settimana e senza prove intermedie si procedeva, previa cementazione extra-orale, alla consegna del restauro protesico definitivo realizzato in zirconia-ceramica tramite metodica CAD-CAM (figg. 29-33).
Come si può osservare dalle immagini, il corretto iter diagnostico, chirurgico e protesico ha portato ad un ottimo risultato estetico con completo ripristino dell’anatomia coronale del dente mancante, della festonatura gengivale e delle papille (figg. 34-36).
- Figg. 1, 2 – Situazione clinica iniziale
- Fig. 2
- Fig. 3 – Radiografia OPT iniziale
- Figg. 4, 5, 6 – Estrazione dell’elemento 12
- Fig. 5
- Fig. 6
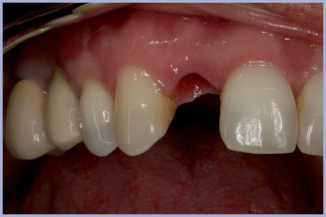
- Fig. 7 – Elemento 12 estratto
- Fig. 8 – Alveolo post-estrattivo
- Figg. 9, 10 – Preparazione del sito implantare
- Fig. 10
- Figg. 11, 12, 13 – Inserimento dell’impianto
- Fig. 12
- Fig. 13
- Fig. 14 – Tappo di guarigione preparato come moncone provvisorio
- Fig. 15 – Corona provvisoria
- Figg. 16, 17 – Ribasatura del provvisorio
- Fig. 17
- Figg. 18, 19, 20 – Rifinitura del provvisorio
- Fig. 19
- Fig. 20
- Fig. 21 – Provvisorio terminato
- Figg. 22, 23 – Inserimento provvisorio
- Fig. 23
- Fig. 24 – Aspetto del provvisorio ad una settimana dall’intervento
- Figg. 25, 26 – Aspetto dei tessuti a 3 mesi dall’intervento
- Fig. 26
- Fig. 27 – Presa impronta con transfer per il manufatto definitivo
- Fig. 28 – Impronta con transfer
- Figg. 29, 30 – Manufatto definitivo
- Fig. 30
- Fig. 31 – Aspetto dei tessuti molli al momento della consegna del definitivo
- Fig. 32 – Cementazione extra-orale
- Figg. 33, 34, 35 – Consegna del manufatto definitivo
- Fig. 34
- Fig. 35
- Fig. 36 – Controllo radiografico alla cosegna del manufatto definitivo
Realizzazioni protesiche: Laboratorio odontotecnico Monni & C. – Perugia




































