Autore:Â Dr. Fulvio Floridi.
Paziente femminile di 55 anni.
L’esame obiettivo e l’OPT mostrano una situazione dento-parodontale estremamente precaria (fig. 1).
Si decide di riabilitare per il momento solo l’arcata superiore. Il piano di trattamento prevede l’estrazione di tutti gli elementi dentali residui ed una riabilitazione fissa metallo-ceramica a supporto implantare. Le estrazioni sono state seguite dalla consegna di una protesi totale provvisoria rimovibile con il duplice scopo di sostituire temporaneamente i denti e di effettuare le valutazioni estetiche e fonetiche da trasferire alla protesi finale (figg. 2, 3).
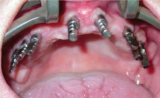
La prima fase chirurgica ha portato all’inserimento di 8 impianti di cui 6 da 3,3 mm di diametro nei settori laterali e 2 da 4,1 mm nei settori anteriori (figg. 4-6).
Il posizionamento implantare nei settori laterali di destra ha richiesto, vista l’esiguità dei diametri ossei vestibolo-orali, un intervento di espansione di cresta effettuato con strumenti rotanti e manuali (scalpelli ed osteotomi) (figg. 7-12). La radiografia di controllo, effettuata a distanza di 3 mesi, mostra la perfetta integrazione di tutti gli impianti, confermata in seguito dalle osservazioni cliniche (fig. 13). La seconda fase chirurgica è stata effettuata, secondo i dettami della chirurgia mini-invasiva, con piccole incisioni semilunari in modo da aumentare la banda di gengiva aderente vestibolare e migliorare il profilo d’emergenza protesico. Non sono state effettuate suture (figg. 14, 15).
Le successive fasi protesiche sono state condotte con le metodiche convenzionali ed hanno portato all’allestimento di un manufatto di 12 elementi metallo-ceramica (figg. 16-22).
I risultati estetici e funzionali appaiono soddisfacenti ed in piena sintonia con la programmazione effettuata tramite l’esecuzione della protesi rimovibile provvisoria e della guida chirurgica (figg. 23-26).
- Fig. 1
- Fig. 2
- Fig. 3
- Fig. 4
- Fig. 5
- Fig. 6
- Fig. 7
- Fig. 8
- Fig. 9
- Fig. 10
- Fig. 11
- Fig. 12
- Fig. 13
- Fig. 14
- Fig. 15
- Fig. 16
- Fig. 17
- Fig. 18
- Fig. 19
- Fig. 20
- Fig. 21
- Fig. 22
- Fig. 23
- Fig. 24
- Fig. 25
- Fig. 26
Realizzazioni protesiche:Â Laboratorio Wilocs di Roma


























