Autore: Dr. Ernesto Caselli.
Paziente maschile, non fumatore, con mancanza di dente singolo 11.
Durante la fase chirurgica si scopre un’apprezzabile atrofia ossea in senso orizzontale, per cui dopo l’inserimento dell’impianto si decide di utilizzare dell’Ostim sulla corticale vestibolare ed una membrana riassorbibile.
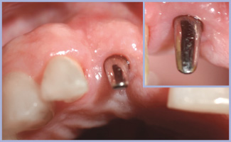
Dopo 6 mesi, ad osteointegrazione avvenuta, si incidono nuovamente i tessuti molli per inserire il tappo di guarigione (figg. 1-2) tentando di dare una certa morfologia gengivale (fig. 3). Dopo circa 1 mese, si rimuove il tappo di guarigione e si controlla lo stato di salute dei tessuti molli (fig. 4). Durante la stessa seduta si provvede alla presa dell’impronta con transfer (fig. 5). Dopo aver realizzato il manufatto protesico, si procede alla prova del moncone in titanio fresato (figg. 6-7) e alla successiva cementazione della corona in ceramica (figg. 8-9).
Si controlla il risultato estetico finale (figg. 10-11), si noti il particolare trattamento estetico adottato nel realizzare la corona in ceramica. A tre mesi dal carico si effettua una radiografia endorale di controllo (fig. 13), si evidenzia come l’osso peri-implantare si sia ben mantenuto dall’inserimento dell’impianto (fig. 12).
- Fig. 1
- Fig. 2
- Fig. 3
- Fig. 4
- Fig. 5
- Fig. 6
- Fig. 7
- Fig. 8
- Fig. 9
- Fig. 10
- Fig. 11
- Fig. 12
Realizzazioni protesiche: Laboratorio Dental System s.n.c. – Ancona












