Autore: Dott. Renato Turrini.
Il paziente uomo di 63 anni si presenta in studio con una situazione disastrosa: denti mobili, ascessi vari e masticazione/articolazione inesistente (Figg. 1-4). Il paziente non è disposto ad accettare una dentiera ed ha una eccessiva fobia del dentista, tanto da starne lontano per circa 15 anni fino ad arrivare alla presente, non più accettabile, situazione. Potevo proporgli o una overdenture su due impianti, ma la sua richiesta primaria era l’esclusione di una protesi rimovibile, o un circolare su impianti, ma anche questa soluzione è stata scartata per motivi economici. L’unica soluzione possibile poteva essere l’All-on-four a carico immediato. All’anamnesi tutto risulta negativo: no fumatore, no diabetico, no cardiopatico, nessun farmaco in terapia.
Una volta spiegato in dettaglio, il paziente accetta il tipo di trattamento proposto. Si esegue in studio un esame Cone Beam evidenziando le strutture anatomiche di interesse e cioè i forami mentonieri e il canale incisivo. Intervento: estrazione di tutti gli elementi presenti, lembo aperto, toilette chirurgica, lavaggio con Rifocin Antibiotico, appiattimento della cresta (Figg. 5, 6). La tecnica All-on-four prevede l’inserimento di due impianti nella zona degli incisivi laterali (posizione 42 e 32) e due impianti distali inclinati (o “tiltati”) posizionati davanti ai forami mentonieri. Per fare questo i due forami sono stati evidenziati, portati in cresta con matita copiativa ed isolati (Figg. 7, 8). È stata posizionata l’apposita dima chirurgica per All-on-four nel foro diametro 1,2 mm e lunghezza 10 mm che ho praticato in zona mediana (Fig. 9). La procedura corretta prevede prima l’inserimento degli impianti distali tiltati e successivamente dei due centrali. Per tutti i siti implantari eseguo il primo foro con il piezoelettrico per aver un maggior controllo sulla direzione dell’alveolo chirurgico (Figg. 10-12, 16). La giusta inclinazione degli impianti posteriori è determinata dalla dima chirurgica; questa infatti presenta delle tacche di riferimento verticali distanziate tra di loro di 7 mm (ciò fornisce anche un riferimento per il mantenimento di una corretta distanza tra un impianto ed il successivo) e se la fresa viene posizionata sulla diagonale tra due tacche consecutive (Fig. 10) si ha un’inclinazione di 30° (Figg. 13, 14).
Poiché l’obiettivo è il carico immediato, a seconda della densità ossea che già conosco tramite l’esame CBCT, per gli impianti distali “tiltati” decido di mettere due impianti Max Stability da 4,5 L14 passando come ultima fresa quella da 3,5 con stop a 14 mm (senza il passaggio della fresa per osso denso). Rimuovo la dima chirurgica e inserisco gli impianti con il manipolo con torque massimo impostato a 35 Ncm. Per l’impianto inclinato in posizione 44-45 (Fig. 15) il micromotore si è fermato quando l’impianto doveva percorrere ancora una distanza di 4 mm per arrivare in quota al sito implantare. Ho deciso di procedere manualmente con il cricchetto dapprima svitando leggermente l’impianto, e quindi in senso antiorario, poi in senso orario di avvitamento, e così con movimenti alternati, sfruttando l’elasticità dell’osso, riesco a portare a dimora l’impianto. Ripeto la stessa procedura per l’impianto controlaterale a sinistra e cioè in sede 34-35 di fronte al forame mentoniero (Figg. 16, 17). Mi sposto in zona mediana, in corrispondenza della zona 42 e 32 preparo i rimanenti due siti implantari utilizzando, come sempre, prima il piezo e poi le frese con stop per alloggiare due impianti Max Stability 3,75 L12 ma seguendo, questa volta, una direzione assiale (Figg. 18, 19).
Una volta posizionati gli impianti (Figg. 20, 21) sempre a lembo aperto posiziono i monconi per protesi avvitata: sugli impianti tiltati posiziono quelli inclinati a 35° GH 3 e sugli impianti centrali un moncone diritto e uno inclinato GH 3 senza inconare (Figg. 22-24). Per vedere meglio il parallelismo ho avvitato sopra i monconi i transfer per monconi e con la pinza li ruoto per trovare il corretto parallelismo. Una volta che tutti e 4 sono paralleli, incono i monconi battendo sopra i transfer con il martelletto. Per maggior sicurezza, svito i transfer e ribadisco i monconi con il martelletto. Rimetto manualmente i transfer, eseguo una sutura per prima intenzione con materiale riassorbibile (Figg. 25, 26), poiché non intendo smontare la barra dopo 10 giorni per rimuovere i punti, e prendo l’impronta in silicone.
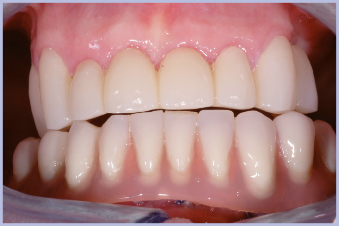
Invio impronta e transfer al laboratorio (Fig. 27). Il tecnico prepara una barra fusa per una Toronto bridge definitiva. La mattina del giorno successivo è stata eseguita una prova estetica con denti in resina e il pomeriggio è avvenuta la consegna del manufatto protesico Toronto bridge con struttura metallica definitiva (Figg. 28-31) .
In questo caso dopo 4 mesi a osteointegrazione completata rimuoverò la barra, la ribaserò con resina acrilica e in poche ore riconsegnerò al paziente il manufatto definitivo.
Il grandissimo vantaggio del Sistema Exacone® rispetto alle sistematiche avvitate si esalta ancora di più in questi casi di riabilitazione con tecnica All-on-four. Mentre tutti gli altri sistemi avvitati, per ciascun moncone protesico presuppongono l’utilizzo e l’avvitamento di due viti (quella di connessione tra fixture ed abutment e quella tra abutment e manufatto protesico), nel caso del Sistema Exacone® si deve gestire solamente una vite per moncone, mentre la connessione tra impianto/abutment è affidata al Cono Morse, semplice ma al tempo stesso affidabile. Nei casi di carico immediato si deve anche pensare che le fasi protesiche avvengono al termine di una complessa seduta chirurgica e il dover gestire un minor numero di viti aumenta la sicurezza e la rapidità dell’intervento. Inoltre la tecnica All-on-four prevede due impianti distali molto inclinati per cui nei sistemi avvitati le due viti hanno inclinazioni molto diverse e per evitare che vadano in conflitto tra di loro alcuni monconi devono presentare la parte emergente traslata dal centro della fixture; ovviamente questa complicazione non c’è nel Sistema Exacone® grazie alla sua connessione conometrica autobloccante. Ulteriore vantaggio che rende più precisa la fase protesica è che i monconi Exacon®e per protesi avvitata sono posizionabili a 360°, senza il vincolo delle sei posizioni dato dalla presenza dell’esagono. In più, la gamma dei monconi Exacone® per protesi avviata comprende gli inclinati a 35°, a cui si può aggiungere l’inclinazione della testa del moncone, pertanto possiamo inserire gli impianti distali tiltati fino ad un disparallelismo di 45° con la certezza di poter recuperare protesicamente il parallelismo. Un altro importante vantaggio della sistematica è dato dalle dimensioni della vite protesica che, con il suo diametro di 2 mm, è la più grande esistente sul mercato: questo riduce sensibilmente l’incidenza delle complicanze meccaniche (allentamenti, fratture, ecc.).
Tutti questi motivi rendono l’impianto Exacone® quello d’elezione nei casi All-on-four.
- Figg. 1-4 – Situazione iniziale
- Fig. 2
- Fig. 3
- Fig. 4
- Figg. 5-6 – Appiattimento della cresta
- Fig. 6
- Figg. 7-8 – Evidenziazione dei forami mentonieri
- Fig. 8
- Fig. 9 – Posizionamento della dima All-on-four
- Figg. 10-12 – Foro iniziale con piezoelettrico
- Fig. 11
- Fig. 12
- Figg. 13-17 – Inclinazione 30° degli impianti distali
- Fig. 14
- Fig. 15
- Fig. 16
- Fig. 17
- Fig. 19
- Figg. 20-21 – Impianti posizionati
- Fig. 21
- Figg. 22-24 – Posizionamento monconi per protesi avvitata + transfer per monconi per meglio valutare il parallelismo
- Fig. 23
- Fig. 24
- Figg. 25-26 – Sutura con filo riassorbibile
- Fig. 26
- Fig. 27 – Invio impronta al laboratorio
- Figg. 28-31 – Il giorno successivo consegna del manufatto protesico
- Fig. 29
- Fig. 30
- Fig. 31
- Fig. 32 – Controllo a 4 mesi
Realizzazioni protesiche: Laboratorio Ceragioli di Pietrasanta – Lucca































