Autori:Â Dr. Nazario Russo, Dr. Davide Montisci, Dr. Giacomo Coppola, Dr. Massimiliano Ciaravolo
Questo case report tratta dell’agenesia di un incisivo laterale superiore, da risolvere con l’inserimento di un impianto a carico immediato. Bisogna premettere che le agenesie degli incisivi laterali superiori rappresentano una grossa sfida per l’implantologo e per il protesista, visto che si tratta di un settore ad alta richiesta estetica e perché lo spazio disponibile per l’inserimento di un impianto è spesso molto esiguo.
Caso clinico
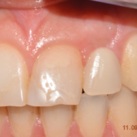
La nostra paziente è una ragazza di ventidue anni, trattata ortodonticamente presso uno studio privato, che si rivolge a noi per sostituire un ponte Maryland, che maschera l’agenesia di un incisivo laterale superiore di sinistra. Da un esame obiettivo iniziale, crediamo che ci siano le condizioni per costruire una corona che rispetti i rapporti dento-dentali con gli elementi contigui (Figg. 1, 2).
- Fig. 1
- Fig. 2
La radiografia endorale iniziale e l’esame Cone Beam mostrano che vi è una buona disponibilità ossea verticale, ma una disponibilità di osso in senso mesio-distale al limite dei protocolli per l’inserimento di un impianto Exacone da 3,3 mm di diametro (Figg. 3-6); per questo motivo decidiamo di utilizzare il nuovo impianto Leone da 2,9 mm di diametro e lunghezza di 14 mm, progettato soprattutto per le agenesie degli incisivi laterali superiori e inferiori.
- Fig. 3
- Fig. 4
- Fig. 5
- Fig. 6
Dopo aver praticato l’anestesia plessica (Fig. 7), eseguiamo un lembo rettangolare a spessore totale che non interessa le papille (Fig. 8).
- Fig. 7
- Fig. 8
Dopo aver scollato i tessuti, creiamo il primo invito nella corticale con una fresa a lancia (Fig. 9) che lasciamo in sede per eseguire una rx di controllo affinché possa darci indicazioni sul parallelismo e sull’equidistanza dagli elementi vicini (Figg. 10, 11).
- Fig. 9
- Fig. 10
- Fig. 11
Seguendo l’invito che avevamo creato in precedenza, utilizziamo la fresa pilota da 2,2 mm fino ad una profondità di circa 16 mm (Fig. 12) per un posizionamento sotto crestale di circa 2 mm, mentre portiamo la fresa da 2,8 mm a una profondità di circa 6,5 mm (Figg. 13, 14). A questo punto preleviamo un impianto Leone 2,9 x 14 mm dall’ampolla sterile (Fig. 15) e lo inseriamo con il contrangolo senza irrigazione.
- Fig. 12
- Fig. 13
- Fig. 14
- Fig. 15
Nonostante avessimo sottopreparato il sito, notiamo che l’impianto va a dimora esprimendo un elevato torque d’inserimento, ma senza bloccarsi (Figg. 16-19), grazie al design conico del tratto apicale. Apprezziamo tantissimo anche il design del nuovo carrier che, oltre a non interferire con le superfici ossee, presenta due tacche a distanza di 1 e 2 mm dal colletto implantare che ci danno un’indicazione sulla posizione dell’impianto rispetto alla cresta ossea. Utilizziamo il cricchetto manuale per completare l’avvitamento dell’impianto e lo portiamo a circa due mm sotto cresta rispetto alla parete vestibolare (Fig. 20).
- Fig. 16
- Fig. 17
- Fig. 18
- Fig. 19
- Fig. 20
Dato che la componentistica protesica di questo impianto è la stessa degli impianti Exacone da 3,3 mm di diametro, utilizziamo un moncone temporaneo in PEEK per impianto da 3,3 e angolato a 15°. Dopo averlo provato (Fig. 21), prepariamo un provvisorio curando il profilo d’emergenza, i punti di contatto e creando un solco che simulasse la linea amelo-cementizia dove adagiare la gengiva libera (Figg. 22, 23).
- Fig. 21
- Fig. 22
- Fig. 23
Siccome era nostra intenzione dare uno spessore maggiore ai tessuti vestibolari, facendo una sorta di roll flap, dopo aver disepitelizzato (Figg. 24, 25) inseriamo il provvisorio che avevamo precedentemente cementato extra-oralmente al moncone temporaneo (Fig. 26).
- Fig. 24
- Fig. 25
- Fig. 26
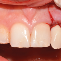
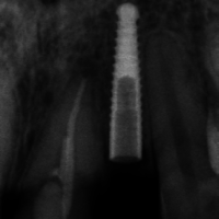
Una sutura a materassaio verticale (Fig. 27) completa la fase chirurgica facendoci apprezzare il buon adattamento dei tessuti al provvisorio e il buon risultato estetico (Fig. 28, 29). Una rx endorale di controllo ci conferma il corretto inserimento dell’impianto che non avremmo sicuramente ottenuto con un impianto di diametro maggiore (Fig. 30).
- Fig. 27
- Fig. 28
- Fig. 29
- Fig. 30
A distanza di venti giorni dall’intervento, notiamo un rimaneggiamento dei tessuti (Fig. 31) che andranno a maturazione nei mesi successivi e una buona linea del sorriso della paziente (Fig. 32).
- Fig. 31
- Fig. 32
Il controllo clinico e radiografico a due mesi e mezzo di distanza mostra un ulteriore miglioramento del quadro clinico: i tessuti sono maturati e il risultato estetico è più che soddisfacente (Figg. 33, 34).
- Fig. 33
- Fig. 34
