Cirujano/Dentista restaurador:
Dr. Roberto Meli – Florencia, Italia
Este caso muestra el tratamiento de un espacio maxilar anterior edéntulo con reabsorción acentuada de la cresta alveolar. El paciente, que padece diabetes y trastorno autoinmune (Guillan – Barré), quería un tratamiento rápido con prótesis fija sin necesidad de procedimientos quirúrgicos. Debido a esta particular situación del paciente, no se podía tomar en consideración un complicado procedimiento de injerto de hueso para regenerar el volumen del hueso faltante. Se posicionaron dos implantes Leone 3.75 x 12 mm en posición #12 y #22 con un procedimiento quirúrgico de dos fases con injerto óseo simultáneo y la aplicación de una prótesis removible provisional. Después de seis meses de cicatrización, los implantes fueron descubiertos y se fabricó con resina rosa una prótesis atornillada para esconder el importante defecto gingival. Gracias a este procedimiento se reprodujeron no solo los dientes sino también la anatomía y la estética gingival.

Vista clínica preoperatoria 
Vista de la zona maxilar anterior y del defecto óseo después del levantamiento del colgajo 
Prótesis provisional removible de resina acrílica in situ 
Tapones de cicatrización sobre dos implantes XCN® Max Stability 3.75 x 12 mm en las posiciones #12 y #22 
Modelo de yeso después de la impresión a nivel del implante: selección de pilares MUA 
Modelo de yeso con llave de silicona: el espacio se distribuye de manera desigual 
Encerado de diagnóstico 
Evaluación intraoral del encerado de diagnóstico 
Modelo de yeso con llave de silicona: transfer atornillados sobre dos pilares MUA GH 1,5 angulados de 15° para agarre y visualización mejores, ya que el hexágono apical está separado del resto del pilar, los pilares pueden rotar hasta su posición angular correcta 
Control del paralelismo, una vez encontrado, el hexágono apical se conecta permanentemente al pilar en la posición elegida 
Posicionamiento definitivo de los pilares MUA en los implantes 
Transferes atornillados a los pilares para tomar la impresión a nivel del pilar 
Transferes posicionados en la impresión 
Los casquillos calcinables altos posicionados sobre los análogos en el modelo 
Fabricación de un prototipo de modelo de resina con dientes “esmaltados” para evaluar actividad y estética 
Vista lateral del prototipo del modelo de resina posicionado sobre el modelo de las arcadas superior e inferior 
Vista lateral del prototipo del modelo de resina posicionado sobre el modelo de las arcadas superior e inferior 
Prototipo del modelo de resina 
Evaluación intraoral del prototipo del modelo de resina 
Reducción del prototipo del modelo de resina 
Evaluación del prototipo del modelo de resina reducido por medio de la llave de silicona 
Prototipo del modelo de resina listo para el posicionamiento 
Prueba de la estructura de metal sobre el modelo 
Prueba intraoral de la estructura de metal 
Selección de tonos para el composite rosa de la resina para esconder el importante defecto gingival 
Estructura de metal arenada 
Estructura de metal después de la aplicación de capas opacas 
Casquillos de resina calcinable 
Casquillos de resina individuales 
Coronas monolíticas en preparación 
Coronas monolíticas acabadas 
Estructura acabada con composite lúcido artificial gingival 
Prótesis lista para la colocación 
Prueba de la prótesis definitiva sobre el modelo 
Modelo, estructura acabada con composite artificial gingival, cinco coronas monolíticas individuales 
Estructura acabada fijada sobre los pilares con tornillos de conexión para la prueba final 
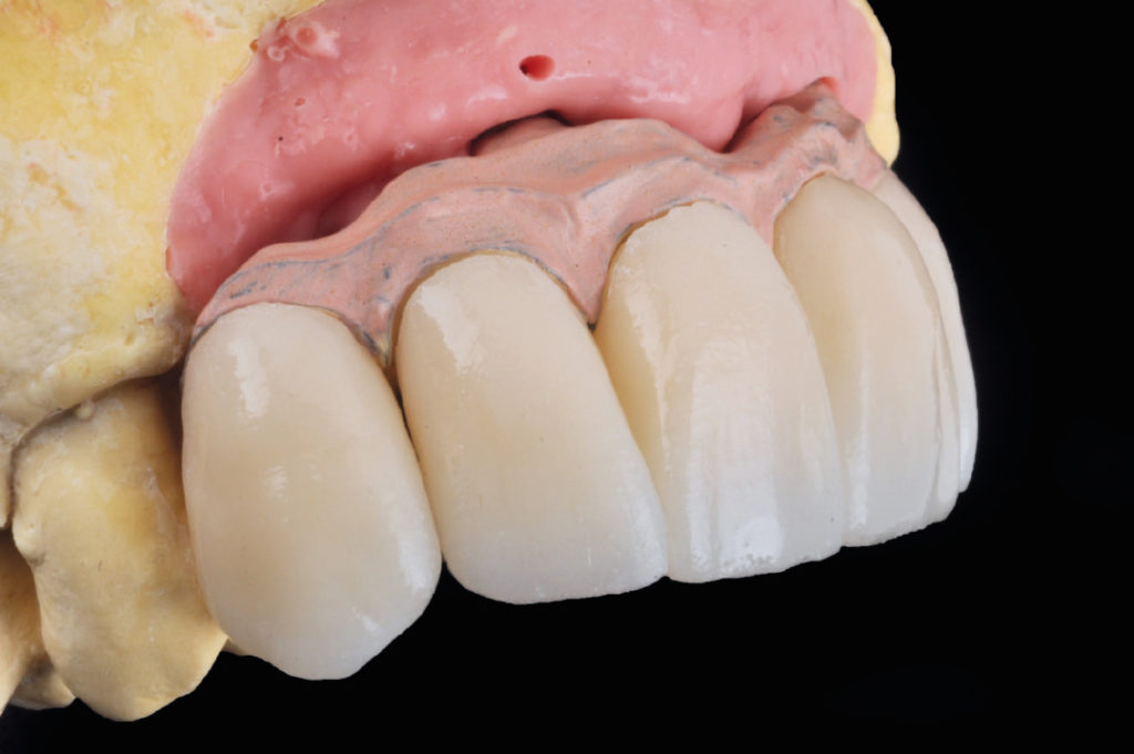
Evaluación de la estética y de la facilidad de limpieza 
Se posiciona otra vez la prótesis sobre el modelo para la cementación de tres coronas monolíticas sobre la estructura acabada con el composite para cementar Multilink Hybrid Abutment 
Se fija definitivamente la prótesis sobre los pilares con tornillos de conexión; se sellan los agujeros de acceso de los tornillos 
Vista oclusal de la prótesis después de la cementación de las dos coronas restantes con cemento provisional sobre la estructura 
Vista lateral de la prótesis: ya que el espacio estaba distribuido de manera desigual (véase fig. 6) hay un diastema entre los dientes #22 y #23 
Vista lateral después del cierre del diastema 
Vista frontal de la prótesis 
La sonrisa del paciente
Laboratorio:
Accioli & Puccini – Florencia, Italia












































