Autori: Dott.ssa Irene Frezzato, Dott. Alberto Frezzato.
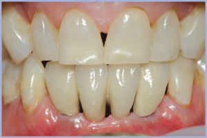
Il case report concerne paziente femminile di anni 53, portatrice da circa 20 anni di Maryland Bridge inferiore esteso da 3-3, applicato a suo tempo con il duplice intendimento di sostituire con protesi a basso impatto due incisivi perduti per malattia parodontale e, al contempo, stabilizzare il gruppo frontale inferiore, parodontalmente compromesso (Figg. 1, 2 ). Il progredire della malattia parodontale ha comportato una mobilizzazione progressiva degli elementi dentari e distacchi successivamente più frequenti della protesi ad incollaggio.
La paziente ci ha richiesto un nuovo trattamento che possa offrire stabile risultato nel tempo. Non risulta proponibile una protesi su 2-2, risultando tali elementi sottili, mobili, parodontalmente compromessi. La soluzione protesica tradizionale di una protesi su 3-3, dopo estrazione di 2-2, è stata scartata per non dover penalizzare i due canini con un probabile trattamento endodontico ed una protesi con carichi non assiali, essendo il gruppo frontale inferiore nettamente linguoinclinato come compenso dentale ad una discrepanza sagittale mandibolo-mascellare.
Viene quindi proposto un trattamento implanto-protesico come soluzione più idonea a risolvere l’edentulia.
Volendo mantenere i due incisivi laterali con un trattamento di “temporeggiamento” si dovrebbero porre due impianti in sede 1-1 e stabilizzare i due incisivi laterali con una estensione della protesi 1-1 implanto-supportata. La zona 1-1, edentula da circa 20 anni, appare inadatta all’inserimento immediato di due impianti perché atrofica con espressione a lama di coltello (Cawood-Howell classe 4). La scelta di due impianti in sede 1-1 comporterebbe quindi una ricostruzione volumetrica ossea di tale zona mediante innesto osseo o GBR. Tale piano di trattamento apparentemente più conservativo per i due incisivi, appare in realtà una scelta più complessa dal lato chirurgico, di minore comfort, più lunga e dispendiosa per la paziente.
L’esame obiettivo mostra altresì, in corrispondenza delle radici dei due incisivi laterali, uno spessore adeguato all’inserimento di due impianti. La radiografia endorale mostra sufficiente disponibilità ossea oltre apice (Fig. 3). Si ritiene quindi di proporre la procedura implanto-protesica post-estrattiva a carico immediato. Tale procedura risulta un trattamento veloce, di scarso impatto per il paziente, esclude le procedure rigenerative necessarie in zona 1-1, permette una protesi a carico immediato, risulta bene accetta alla paziente concentrando la chirurgia in un unico tempo e, non ultimo, riducendo i costi del trattamento.
La valutazione clinica e radiografica dei siti implantari ci suggerisce di utilizzare due impianti Max Stability Ø 3,75 x 12 mm. Di seguito si riportano le foto delle fasi principali del trattamento: estrazione atraumatica degli elementi dentari 2-2 (Fig. 4), preparazione dei siti (Fig. 5), inserimento di due impianti Max Stability Ø 3,75 x 12 mm (Figg. 6-8), connessione immediata di due tappi di guarigione Ø 3,3 altezza 7 mm (Fig. 9), confezionamento di provvisorio immediato estemporaneo utilizzando parte del Maryland preesistente (Figg. 10, 11).
A quattro mesi dall’intervento i tessuti appaiono guariti e stabili (Fig. 12) e si procede alla protesizzazione definitiva mediante ponte metallo-ceramica 2-2 (Figg. 13-16).
Le figure 17 e 18 mostrano il quadro clinico e radiografico a 12 mesi dal carico.
Una accurata selezione del paziente e un preciso protocollo chirurgico-protesico permettono di scegliere il trattamento di carico immediato nelle edentulie intercalate inferiori come procedura affidabile.
- Fig. 1 – Quadro clinico iniziale
- Fig. 2 – Maryland visione linguale
- Fig. 3 – Radiografia pre-operatoria
- Fig. 4 – Alveoli post-estrattivi
- Fig. 5 – Preparazione dei siti implantari
- Fig. 6 – Impianto Max Stability Ø 3,75 x 12 mm
- Fig. 7 – Inserimento degli impianti Max Stability Ø 3,75 x 12 mm
- Fig. 8 – Visione degli impianti inseriti
- Fig. 9 – Connessione dei tappi di guarigione 3,3 altezza 7 mm
- Fig. 10 – Provvisorio estemporaneo, da riadattamento del Maryland precedente
- Fig. 11 – RX post-operatoria immediata
- Fig. 12 – Provvisorio estemporaneo in resina sui tappi di guarigione
- Fig. 13 – Quadro clinico al momento dell’impronta
- Fig. 14 – Impronta con i transfer
- Fig. 15 – Manufatto finito sul modello
- Fig. 16 – Consegna del manufatto
- Fig. 17 – Controllo a 12 mesi
- Fig. 18 – Controllo radiografico a 12 mesi dal carico
Realizzazioni protesiche: Laboratorio Ceramodent di Morbiato P. e C. – Padova


















