Autori: Dott. Roberto Meli, Odt. Massimiliano Pisa.
Spesso i pazienti affetti da edentulia hanno altezza ossea limitata, quindi, per l’inserimento degli impianti sono necessarie procedure di rigenerazione ossea o innesti ossei. Queste tecniche, non solo hanno insiti dei rischi e danno risultati incerti, ma aumentano anche il costo e i tempi del trattamento implantare. In molte situazioni l’impiego di impianti corti rappresenta la soluzione più affidabile mantenendo costi e tempi inalterati rispetto a un caso implantare semplice. Inoltre le tecnologie CAD-CAM possono aiutare nell’incrementare l’accettazione da parte dei pazienti al trattamento implantoprotesico unendo estetica e funzionalità con costi accettabili.
Il seguente caso clinico riassume i vantaggi dell’utilizzo sia di impianti corti che della tecnologia CAD-CAM per la realizzazione della struttura protesica con la precisione del metodo laser sintering (SLS = Selective Laser Sintering).
Paziente di sesso maschile di anni 36, nessuna notizia anamnestica particolarmente rilevante. La radiografia pre-operatoria dell’area edentula da riabilitare, zona 16, mostra una scarsa disponibilità ossea verticale. Si esclude un intervento di mini rialzo di seno optando per l’impiego di un impianto corto 6.5 Exacone® (fig. 1) in tecnica monofasica poiché, al momento dell’inserimento, la stabilità primaria è eccellente. Dopo cinque mesi si procede alla rimozione del tappo di guarigione, alla verifica della guarigione dei tessuti ed alla presa dell’impronta in polietere (Impregum™ 3M ESPE). Sopra il transfer si posiziona l’analogo con il suo pin. Le componenti (transfer, analogo, ecc.) che si utilizzano sopra l’impianto corto sono le stesse dell’impianto 4,1, come si evince dalle foto (figg. 3-6). Dopo aver sviluppato il modello, condizioniamo il gesso per migliorare i volumi del dente che andiamo a progettare, non solo per una questione estetica ma anche per un maggior comfort per il paziente (figg. 7, 8). Si procede alla digitalizzazione del modello master tramite scansione con dispositivo Inlab Sirona (fig. 9).
Grazie al software CAD andiamo a progettare la forma e i volumi finali per poi ricavarne una struttura anatomica che sia di sostegno alla ceramica in modo ottimale (figg. 10, 11). A questo punto spediamo via internet il file in questione (figg. 12, 13) al centro Infinident Sirona dove inizieranno subito la lavorazione. Dopo solo due giorni dall’invio, il progetto trasformato in manufatto viene recapitato in laboratorio. Il manufatto è realizzato in lega cromo-cobalto tramite un processo di laser sintering (SLS). Il suo aspetto è solo apparentemente poroso (fig. 14) mentre il suo adattamento al moncone MultiTech è immediato (fig. 15) grazie alla precisione della tecnica di produzione SLS. Una leggera rifinitura mette subito in evidenza l’ottima qualità della lega CrCo (figg. 16-18). Vi si applica sopra prima l’opaco (fig. 19) e poi la ceramica (fig. 20) per la realizzazione della corona definitiva (figg. 21, 22, 24). Poiché si prevede che la corona sarà cementata extraoralmente sul moncone dopo aver eseguito la prova in bocca, si realizza un jig (fig. 23) per l’attivazione della connessione conometrica e nello stesso tempo proteggere la ceramica. Dopo aver verificato in bocca la corona sia per la forma, i punti di contatto e il colore, si effettua la cementazione extraorale sfruttando come supporto il manico per monconi (figg. 25, 26).
Si rimuove il cemento in eccesso (fig. 27) e si posiziona in maniera definitiva in bocca il restauro protesico che provoca una leggera ischemia a carico dei tessuti molli attorno alla corona (fig. 28) dovuta al condizionamento realizzato in sede di progettazione e realizzazione del lavoro (fig. 8). Il controllo clinico e radiografico ad 1 anno di distanza dall’intervento implantare (figg. 29, 30) mostra come il condizionamento gengivale effettuato dalla protesi abbia influito positivamente sull’estetica coprendo tutti gli spazi interdentali. Questo effetto è rimasto inalterato nel tempo grazie al supporto offerto dall’osso peri-implantare che si è perfettamente mantenuto.
- Fig. 1 – Rx post-operatoria
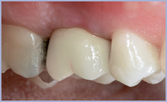
- Fig. 2 – Aspetto dei tessuti molli a 5 mesi
- Fig. 3 – Guarigione dei tessuti
- Fig. 4 – Presa impronta con transfer
- Fig. 5 – Impronta con transfer
- Fig. 6 – Impronta con transfer analogo e pin
- Fig. 7 – Modello master
- Fig. 8 – Modello con moncone MultiTech e condizionamento gengivale
- Fig. 9 – Modello digitalizzato
- Fig. 10 – Progetto della corona finita
- Fig. 11 – Struttura anatomica
- Fig. 12 – Progetto finito
- Fig. 13 – Manufatto virtuale
- Fig. 14 – Manufatto reale
- Fig. 15 – Primo adattamento del manufatto al moncone MultiTech
- Fig. 16 – Rifinitura e adattamento al modello
- Fig. 17
- Fig. 18
- Fig. 19 – Applicazione opaco ceramico
- Fig. 20 – Ceramizzazione
- Fig. 21 – Prima cottura della ceramica
- Fig. 22 – Ceramica finita
- Fig. 23 – Jig per l’attivazione del restauro in bocca
- Fig. 24
- Fig. 25 – Fasi di cementazione
- Fig. 26
- Fig. 27
- Fig. 28 – Restauro protesico inserito in bocca in maniera definitiva. Si noti la leggera ischemia provocata sui tessuti molli
- Fig. 29 – Rx a 1 anno di distanza
- Fig. 30 – Aspetto dei tessuti ad 1 anno






























