Autore:
Dr. Giuseppe Musiello
Libero professionista a Vico del Gargano – Foggia
Odt. Vincenzo Torraco
Orta Nova – Foggia
Caso clinico
La paziente, N.G., di anni 52 giunge al nostro studio nel mese di settembre 2017 accusando mobilità ed inestetismo dell’elemento protesico 22.
Dalla radiografia si evidenzia una frattura parziale della radice (Figg.1-4).
- Fig. 1
- Fig. 2
- Fig. 3
- Fig. 4
Si decide per l’estrazione e sostituzione dell’elemento con un restauro implanto-protesico (Figg. 5-10).
- Fig. 5
- Fig. 6
- Fig. 7
- Fig. 8
- Fig. 9
- Fig. 10
Purtroppo la scarsa quota ossea apicale all’alveolo post-estrattivo e l’alta valenza estetica dell’elemento ci rende cauti e si programma una socket preservation post-estrattiva con l’ausilio delle membrane di PRF (Figg. 11-25).
- Fig. 11 – Rx post-estrazione
- Fig. 12
- Fig. 13
- Fig. 14
- Fig. 15
- Fig. 16
- Fig. 17
- Fig. 18
- Fig. 19
- Fig. 20
- Fig. 21
- Fig. 22
- Fig. 23
- Fig. 24
- Fig. 25
Durante i 5 mesi di guarigione, la paziente porta una protesi parziale mobile; a guarigione del sito post-estrattivo si evidenzia una buona conservazione dei volumi osseo-gengivali, se pur presente una recessione distale all’elemento 21 (Figg. 26-30).
- Fig. 26
- Fig. 27
- Fig. 28
- Fig. 29
- Fig. 30
Nel mese di febbraio 2018 si procede all’inserimento di un impianto Max Stability 3,75×12 mm, disegnando un lembo anticipato palatino per consentire un aumento dei tessuti vestibolari. Si sutura con tecnica roll-flap, trasformando l’elemento parziale mobile in una corona singola a carico immediato sul moncone temporaneo con l’applicazione dei concetti protesici BOPT (Biologically Oriented Preparation Technique) (Figg. 31-43).
- Fig. 31
- Fig. 32
- Fig. 33
- Fig. 34
- Fig. 35
- Fig. 36
- Fig. 37
- Fig. 38
- Fig. 39
- Fig. 40
- Fig. 41
- Fig. 42
- Fig. 43
Durante il periodo di maturazione dei tessuti molli vengono apportate opportune modifiche ai profili del provvisorio, al fine di dare maggior spazio al tessuto gengivale (Figg. 44-47).
- Fig. 44
- Fig. 45
- Fig. 46
- Fig. 47
Dopo circa 2 mesi dalla protesizzazione provvisoria si è proceduto alla realizzazione del manufatto protesico con tecnica chair side Sirona con l’ausilio del moncone Ti-Base (Figg. 48-56).
- Fig. 48
- Fig. 49
- Fig. 50
- Fig. 51
- Fig. 52
- Fig. 53
- Fig. 54
- Fig. 55
- Fig. 56
In una sola seduta abbiamo realizzato una corona in disilicato, ottenendo un risultato più che soddisfacente
(Figg. 57-60).
- Fig. 57
- Fig. 58
- Fig. 59
- Fig. 60
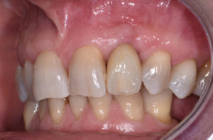
Nel controllo a 3 mesi dal carico definitivo si apprezza la perfetta conservazione dei livelli ossei e gengivali (Figg. 61-62).
- Fig. 61
- Fig. 62
Teniamo a precisare che un caso come quello qui illustrato è stato portato a termine con buoni risultati solo grazie alla piena fiducia della paziente ed alla sua massima motivazione e collaborazione. Ad oggi la paziente sorride, soddisfatta del risultato; ciò rappresenta la massima ricompensa per chi dedica tutto se stesso alla professione.






























































