Autore: Dr. Alberto Frezzato.
Paziente femminile di anni 53.
La paziente è affetta da diabete lieve in compenso, portatrice di parodontopatia cronica con riassorbimento osseo prevalentemente orizzontale, in terapia di mantenimento. Presenta una perdita di supporto dentale con diastema centrale (fig. 33) e triangoli neri interdentali. Il labbro nasconde la zona gengivale. Presenta inoltre edentulia intercalata al 3° quadrante (Kennedy VI) e, di fatto, una edentulia distale bilaterale superiore (Kennedy I), essendo la protesi al I° quadrante non recuperabile (figg. 1-4).
Il piano di trattamento prevede la rimozione della protesi sui pilastri 7+ 3+ non recuperabili e la riabilitazione implanto-protesica al 1° e 3° quadrante mediante utilizzazione di impianti “Exacone®” a connessione conometrico-esagonale. Si inseriscono 3 fixture in sede 4+ (post-estrattivo immediato) 5+ e 6+ in tecnica bifase (figg. 5-12). La fase di laboratorio prevede il fresaggio dei tre monconi e la realizzazione della travata metallica sui tre elementi (figg. 13-14). Al momento della prova in bocca dei monconi fresati e della travata (figg. 15-18), si esegue estrazione di 7+ (figg. 19-20). Dopo la consegna del lavoro ultimato, si attivano i tre monconi negli impianti e si cementa sopra la protesi (figg. 21-27).
Al terzo quadrante si inseriscono due fixture in posizione -6 e -7 in due fasi chirurgiche (figg. 28-29).
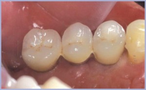
Si eseguono protesi su pilastro naturale e su impianti, non collegate (figg. 30-32).
Per completare il trattamento viene eseguita una coronoplastica in composito a mascheramento della recessione gengivale e a chiusura del diastema (figg. 33-34).
- Fig. 1
- Fig. 2
- Fig. 3
- Fig. 4
- Fig. 5
- Fig. 6
- Fig. 7
- Fig. 8
- Fig. 9
- Fig. 10
- Fig. 11
- Fig. 12
- Fig. 13
- Fig. 14
- Fig. 15
- Fig. 16
- Fig. 17
- Fig. 18
- Fig. 19
- Fig. 20
- Fig. 21
- Fig. 22
- Fig. 23
- Fig. 24
- Fig. 25
- Fig. 26
- Fig. 27
- Fig. 28
- Fig. 29
- Fig. 30
- Fig. 31
- Fig. 32
- Fig. 33
- Fig. 34
Realizzazioni protesiche: Laboratorio Ceramodent – Padova


































