Dott. Valerio Petricca
Libero professionista a Montelanico – (Roma)
Caso clinico
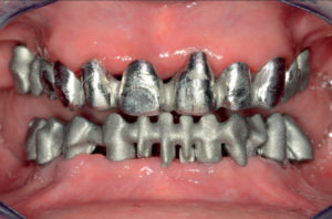
La signora F. si presenta alla nostra attenzione con uno scheletrato decementato che riabilitava il settore anteriore ed il I quadrante, accusando dolore derivante dalla forte mobilità a carico degli elementi del ponte del II quadrante (Fig.1).
In prima visita, l’anamnesi mostra uno stato di salute ottimale e la paziente, fortemente odontofobica, è decisa nel cambiare lo stato della sua bocca, eliminando il discomfort grazie a riabilitazioni fisse in ambedue le arcate.
È disposta a sottoporsi a chirurgia implantare a patto che questa sia “one shot”, evitando quindi una seconda chirurgia dedicata alla riapertura e al management dei tessuti.
Nonostante in casi come questi sia indicata la chirurgia in due fasi, vista la buona quota di gengiva aderente disponibile e soprattutto l’affidabilità della connessione Exacone, decidiamo di accontentarla.
Vengono rilevate impronte preliminari in alginato di ambedue le arcate ed esaminata la dimensione verticale esistente, data inferiormente dalla protesi totale e superiormente dal ponte e dallo scheletrato.
La dimensione verticale viene ritenuta adeguata e quindi sarà mantenuta nelle fasi successive.
Viene quindi redatto il seguente piano di trattamento:
– nel mascellare, eliminazione del ponte del II quadrante e inserimento di 4 impianti (due per lato) posteriori e riabilitazione fissa sugli elementi anteriori;
– nella mandibola, inserimento di sei impianti con elementi fissi in metallo-porcellana.
Provvisoriamente, in attesa dell’osteointegrazione, la paziente avrà una riabilitazione provvisoria nel settore anteriore del mascellare superiore, mentre nella mandibola continuerà a portare la protesi totale, opportunamente adattata.
Il primo giorno di chirurgia si opera il mascellare superiore. Nel primo quadrante, medialmente, si inserisce un impianto Max Stability Ø 3,75 mm, vista l’estrema “morbidezza” ossea e distalmente un impianto cilindrico Ø 3,3 mm. Si collocano in situ due tappi di guarigione e si chiude il lembo a tutto spessore precedentemente eseguito (Figg. 2, 3).
L’ operazione si ripete nel secondo quadrante; dopo aver eliminato il ponte già esistente ed aver estratto l’elemento 27, considerato non recuperabile, si inseriscono due impianti cilindrici Ø 3,3 mm (Fig. 4). Anche in questo caso, come concordato, si procede all’applicazione di due tappi di guarigione.
La paziente si presenta regolarmente agli appuntamenti di controllo mostrando buona compliance e riferendo solo leggeri fastidi. Si esegue l’intervento nella mandibola a dieci giorni dal precedente.
Si apre un lembo a tutto spessore e si posizionano sei impianti, di diametro coerente con lo spessore della cresta.
In casi di inserimento multiplo di impianti, il sistema Exacone ci offre una piccola ma al contempo fondamentale risorsa per il corretto posizionamento: la possibilità di avere per ogni impianto un carrier da usare come pin di parallelismo (Fig. 5).
Gli impianti sono dapprima posizionati bone level (Fig. 6) e poi portati sottocresta con il cricchetto. Il torque di inserimento per ciascun impianto è elevato, requisito fondamentale quando si esegue una terapia implantare in tecnica monofasica.
Il posizionamento sottocrestale non è casuale: gli impianti, esposti nel cavo orale tramite i tappi di guarigione, saranno sottoposti agli stress indotti dalla protesi totale sovrastante; ci aspetteremo quindi una perdita contenuta di osso marginale.
La protesi viene forata in corrispondenza dei tappi di guarigione e ribasata con resina morbida (Dinabase).
La resina farà anche da cuscinetto al fine di ridurre i micromovimenti originati dalla protesi totale.
La paziente torna dopo tre mesi per procedere con la parte protesica. I tessuti sono stabili e gli impianti integrati (Fig. 7).
Nonostante le condizioni “border line” di questo caso, il cono Morse dell’impianto Leone si dimostra affidabilissimo ed i tessuti appaiono in ottimo stato (Fig. 8). L’interfaccia perfetta tra l’impianto ed il tappo di guarigione riduce ai minimi termini l’infiltrato batterico e quindi le lesioni e le infiammazioni tissutali.
Rimossi i tappi di guarigione (Figg. 9, 10), si inseriscono i transfer da impronta (Fig. 11) che ingaggiano perfettamente l’esagono implantare rimanendo immobili durante la rilevazione delle impronte.
Si rilevano quindi le impronte (Figg. 12, 13), uno dei passaggi più comodi del sistema Exacone: non avendo la necessità di svitare i transfer, basterà prendere un’impronta “a strappo”, riducendo così le difficoltà per l’operatore ed i tempi di attesa per il paziente.
Il tutto viene inviato al laboratorio. La dimensione verticale è stata stabilita in fase preliminare. Si può procedere quindi alla ceratura e alla progettazione degli abutment “customizzati”.
Una volta progettati e fresati, il laboratorio invia i monconi “customizzati” insieme a dei comodi jig in resina che guideranno il loro posizionamento corretto (Fig. 14). I jig si inseriscono alla perfezione e questo testimonia la bontà delle impronte rilevate.
Questo è un semplice espediente, praticamente a costo zero sia per l’operatore che per il laboratorio, che permette di evitare inutili sprechi di tempo per cercare la collocazione precisa dei monconi.
Una volta provati i monconi, si prepara uno strato di Duralay abbastanza spesso da alloggiare sul jig di posizionamento e si chiede al paziente di chiudere (Fig. 15).
L’insieme Duralay-jig ci darà due principali aiuti:
1) servirà per solidarizzare tutti i monconi in un unico blocco
2) costituirà una vera e propria impronta di posizione poiché ci permetterà di “fotografare” la stabilità simultanea di tutti gli abutment e quindi trasferire questa informazione all’odontotecnico (Fig. 16).
L’ odontotecnico possiede ora le informazioni necessarie per progettare entrambe le strutture (Figg. 17-20).
Ci vengono inviate in prova le strutture in metallo insieme a due provvisori, del tutto coerenti con la riabilitazione finale in modo che la paziente possa abituarsi in attesa dei restauri definitivi.
Gli abutment customizzati vengono posizionati negli impianti con l’aiuto dell’insieme Duralay-jig. Per fissare la posizione dei monconi si batte con il percussore sopra l’insieme Duralay-jig (Fig 21). Dopo averlo rimosso si posiziona il percussore direttamente sui monconi per inconarli alla perfezione.
I monconi appaiono perfettamente adattati alle mucose senza creare sofferenza a queste ultime (Fig. 22).
Si esegue la prova dell’armatura metallica, si prendono le impronte di posizione per consentire al tecnico di procedere alla ceramizzazione (Figg. 23-25) e si applicano i due provvisori al paziente.
La settimana seguente si cementano i manufatti definitivi (Figg. 26-30).
Il controllo clinico e radiografico a 3 anni mostra un buon mantenimento dei margini ossei perimplantari. Anche il paziente appare pienamente soddisfatto (Figg. 31, 32).
Conclusione
La routine del nostro lavoro spesso è molto lontana da quello che vediamo nei congressi e ai corsi. Di frequente si devono trovare compromessi tra le esigenze del curante e quelle dei pazienti.
Il case report presentato ne è un chiaro esempio. La paziente aveva avuto esperienze alla poltrona assolutamente negative che l’avevano portata a trascurarsi completamente.
Quando un paziente decide finalmente di donarci la sua fiducia, molte volte comincia a porre dei paletti che rappresentano dei limiti alle nostre facoltà operative.
È proprio in questi momenti che lavorando in team con il laboratorio, dobbiamo optare per la migliore delle soluzioni a nostra disposizione per accontentare le richieste del paziente.
Dovendo in questo caso far conciliare la chirurgia monofasica a tutti i costi con la presenza di una protesi totale, ci si deve affidare ad un impianto che sia stabile, affidabile e con una connessione molto performante.
Nonostante le pressioni esercitate dalla protesi e l’inevitabile accumulo di placca al di sotto di essa, i tessuti e l’osso hanno mantenuto un’assoluta stabilità grazie al cono Morse Leone.
La rapidità d’esecuzione nelle fasi chirurgiche e nel posizionamento implantare, il lavoro di squadra con il laboratorio e le caratteristiche dell’impianto Leone ci hanno consentito di portare a termine il piano di cura mantenendo il risultato stabile nel tempo ed eliminando qualsiasi tipo di complicanza nei momenti più critici della riabilitazione.
Realizzazioni protesiche: Odt. Plinio Lovaglio (Roma)































