Autori:
Dott. Hugo Esquiaga García
Libero professionista a Barcellona, Spagna
Dott. Fernando René Orsini
Libero professionista a Barcellona, Spagna
La riabilitazione orale comprende un’ampia scelta di protocolli clinici e protesici il cui obiettivo finale è quello di ripristinare l’integrità del sistema stomatognatico. Questo sistema può essere alterato dal deterioramento o dalla perdita di uno o più dei suoi elementi.
In caso di assenza parziale o totale di elementi dentari, è necessaria una protesi la cui realizzazione dipenderà dalla situazione clinica da risolvere. L’ampia scelta di protocolli protesici è legata alla possibilità che il paziente ha di poter rimuovere o meno la protesi; per questo motivo si ha una prima suddivisione in protesi fissa e rimovibile.
In caso di edentulia parziale, la protesi fissa consiste in un tipo di riabilitazione che usa gli elementi esistenti come appoggio per la cementazione di corone o ponti. In alternativa, se la protesi è supportata da impianti, può essere avvitata, cementata sul moncone implantare o fissata mediante connessione conometrica.
In caso di edentulia totale esistono diverse possibilità, che vanno da una protesi rimovibile con supporto mucoso, a una protesi fissa su impianti osteointegrati. In quest’ultimo caso la protesi può essere avvitata, come nel caso di una Toronto o di una All-on-four, fino a opzioni cementate su monconi o fissate mediante connessione conometrica. Le opzioni rimovibili, chiamate overdenture, possono essere ancorate a impianti che agiscono come elementi ritentivi. L’ancoraggio agli impianti viene realizzato in vari modi, come ad esempio su monconi a testa sferica o su barre (Dolder, Ackerman, microfresate, ecc.).
Il sistema XCN® Leone presenta una nuova tipologia di overdenture denominata “conometrica”, che si stabilizza grazie all’attrito generato dai suoi componenti protesici; questo avviene mediante l’adattatore Conic con semiangolo di 5°, il quale viene avvitato sul moncone MUA, trasformandolo in moncone MUA-Conic. Sull’emergenza conica vengono fissate per frizione le cappette rosa in PEEK che verranno poi inglobate nell’overdenture.
La procedura per realizzare protesi conometriche con il sistema XCN® Leone prevede i seguenti step operativi:
- Rimozione dei tappi di guarigione Standard e presa di un’impronta della posizione degli impianti;
- Realizzazione di un modello in gesso per la scelta dei monconi MUA, orientamento dell’esagono 360°, avvitamento degli adattatori Conic con il cricchetto dinamometrico (20 Ncm) per trasformare i monconi MUA in monconi conometrici (MUA-Conic);
- Realizzazione della protesi rimovibile con spazi adeguati per le cappette Mobile e la resina;
- Attivazione dei monconi MUA-Conic negli impianti;
- Posizionamento delle cappette Mobile sui monconi MUA-Conic e attivazione con un colpo di percussore con la punta in PEEK;
- Eventuale isolamento della mucosa con una diga;
- Riempimento con la resina degli spazi predisposti per le cappette Mobile nella protesi;
- Posizionamento della protesi in bocca sulle cappette Mobile chiedendo al paziente di occludere lievemente in massima intercuspidazione;
- All’indurimento della resina rimozione della protesi, eliminazione della resina in eccesso intorno alle cappette e rifinitura;
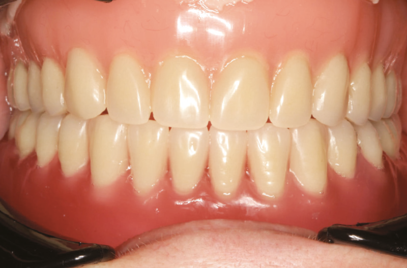
- Consegna della protesi al paziente.
CASO CLINICO
La paziente di sesso femminile di 68 anni si presenta in studio con la richiesta di riabilitare l’arcata inferiore. Dall’esame clinico emerge che i pochi elementi naturali residui non sono più recuperabili e l’esame radiografico mostra una buona disponibilità ossea idonea per l’inserimento di 4 impianti. In accordo con la paziente si decide di estrarre i denti residui e di inserire quattro impianti Leone XCN® Classix, di cui due Ø 3,3 L 12 mm anteriori e due Ø 4,1 L 10 mm distali per l’ancoraggio di una protesi rimovibile conometrica.
Dopo 3 mesi di guarigione sommersa con i tappi di chiusura, si realizza la seconda chirurgia collocando tappi di guarigione Standard. Una volta trascorsi 15 giorni, si procede alla presa dell’impronta della posizione degli impianti e si registrano anche la dimensione verticale e il morso. Uno dei vantaggi della presa di impronta del sistema XCN® Leone è l’utilizzo di un portaimpronte chiuso e la facilità di inserzione dei transfer, che non richiede radiografie per verificarne il corretto posizionamento (Figg. 1-3).

Fig. 1 – Visione dei tappi di guarigione Standard al momento della presa dell’impronta 
Fig. 2 – Transfer inseriti negli impianti 
Fig. 3 – Impronta con i transfer
Si invia l’impronta al laboratorio che realizza il modello in gesso sul quale sceglierà sia l’angolazione che l’altezza gengivale dei monconi MUA. Grazie alla connessione 360° i monconi MUA si possono ruotare liberalmente nella ricerca di un perfetto parallelismo, aiutati dalle viti polifunzionali blu (Figg. 4, 5).

Fig. 4 – Modello di gesso con i monconi MUA; le viti polifunzionali aiutano a trovare il perfetto parallelismo 
Fig. 5 – Modello di gesso con i monconi MUA; le viti polifunzionali aiutano a trovare il perfetto parallelismo
Successivamente si attivano i monconi MUA negli analoghi e si avvitano gli adattatori Conic sui monconi MUA serrandoli a 20 Ncm con il cricchetto dinamometrico, per trasformarli in monconi MUA-Conic (Figg. 6, 7).
Il laboratorio realizza una protesi diagnostica per la prova funzionale ed estetica in bocca (Figg. 8-10).

Fig. 6 – Adattatori Conic avvitati sui monconi MUA per trasformarli in monconi MUA-Conic 
Fig. 7 – Adattatori Conic avvitati sui monconi MUA per trasformarli in monconi MUA-Conic 
Fig. 8 – Prova della protesi diagnostica in bocca 
Fig. 9 – Prova della protesi diagnostica in bocca 
Fig. 10 – Prova della protesi diagnostica in bocca
Dopo aver controllato l’occlusione, la dimensione verticale, il supporto labiale e il colore, il laboratorio procede con la finalizzazione della protesi definitiva. Il tecnico posiziona quindi sul modello le cappette Mobile sopra i monconi MUA-Conic e realizza una protesi con spazi adeguati ad accogliere successivamente le cappette Mobile e la resina (Figg. 11, 12).

Fig. 11 – Cappette Mobile posizionate manualmente sui monconi MUA-Conic 
Fig. 12 – Protesi definitiva realizzata con spazi adeguati per le cappette Mobile e la resina
Durante la seduta di consegna della protesi, si posizionano i monconi MUA-Conic negli impianti, attivandoli con il percussore con la punta in PEEK. Con lo stesso strumento si attivano anche le cappette Mobile sui monconi MUA-Conic con un solo colpo di percussore (Figg. 13, 14).

Fig. 13 – Monconi MUA-Conic attivati negli impianti 
Fig. 14 – Cappete Mobile attivate con un solo colpo di percussore con punta in PEEK sui monconi MUA-Conic
Si procede infine all’inglobamento delle cappette Mobile nella protesi con cemento duale resinoso e si chiede al paziente di occludere lievemente in massima intercuspidazione, fino alla completa polimerizzazione (Figg. 15, 16).
Una volta completata la polimerizzazione si rimuove la protesi, si asporta la resina in eccesso e si rifinisce la protesi (Fig. 17).

Fig. 15 – Cemento resinoso usato per la fotopolimerizzazione 
Fig. 16 – Cemento resinoso colato negli spazi predisposti per le cappette Mobile 
Fig. 17 – Cappette Mobile inglobate nella protesi
Il controllo ad 1 anno mostra una situazione ideale: la paziente è molto soddisfatta, la protesi è in ottime condizioni e i tessuti perimplantari sono sani e stabili (Figg.18-22).

Fig. 18 – Controllo ad 1 anno: tessuti perimplantari 
Fig. 19 – Controllo ad 1 anno: vista interna della protesi 
Fig. 20 – Controllo ad 1 anno: vista frontale e laterale della protesi 
Fig. 21 – Controllo ad 1 anno: vista frontale e laterale della protesi 
Fig. 22 – Controllo ad 1 anno: vista frontale e laterale della protesi
COMMENTO FINALE
L’odontoiatria restaurativa si concentra da sempre sulla sostituzione di strutture e/o tessuti persi o danneggiati. Quando si ha una protesi fissa, essa assomiglia molto alla dentatura naturale. Tuttavia, in molti casi non è possibile scegliere l’opzione fissa e si deve invece ricorrere alla protesi rimovibile. Questa nuova tipologia di overdenture conometrica offre la possibilità di un restauro rimovibile con comfort e funzionalità molto simili a quelli della protesi fissa.
Il sistema di impianti XCN® Leone dispone inoltre del valore aggiunto della connessione a cono Morse, i cui vantaggi vanno dall’unione solida fra moncone e impianto, ad un efficace sigillo microbiologico. Se a questo sommiamo la possibilità di ricorrere alla connessione conometrica a livello protesico (per avere un’overdenture con un’efficiente ritenzione), una cappetta in PEEK facile da gestire e in generale un costo contenuto, si ottiene una soluzione più che valida che il clinico può tenere in considerazione al momento di offrire una riabilitazione che non possa essere realizzata in forma fissa.
Realizzazioni protesiche:
Odt. Sergio Pardo, Corus Mondental – Barcellona (Spagna)
