Autori:
Dr. Luigi Lucchiari
Libero professionista a Due Carrare (PD)
Dr. Nicola Lucchiari
Libero professionista a Due Carrare (PD)
In questo articolo si presentano due alternative protesiche cement-free che aumentano ulteriormente le possibilità di utilizzo del sistema implantare XCN® Leone: corona singola avvitata (ExaConnect) e protesi conometrica (MUA-Conic).
Corona avvitata su ExaConnect
L’ExaConnect è un’alternativa cement-free per corone singole per casi con tramite gengivale profondo e per altre situazioni in cui la cementazione extra-orale è solo difficilmente praticabile. L’ExaConnect si fissa con la connessione conometrica autobloccante all’impianto, mantenendo così tutti i vantaggi del sistema implantare XCN® Leone, ovvero sigillo batterico, assenza di “pump effect” e stabilità nel tempo dell’ampiezza biologica. Nello stesso tempo sposta la connessione protesica coronalmente all’ampiezza biologica stessa, offrendo la possibilità di avvitare la corona senza utilizzo di cemento.
Per tutti coloro che lavorano con procedure protesiche digitali, è interessante anche un’altra particolarità di questo connettore: è il primo Ti-Base angolato con varie altezze, dato che la corona si realizza con il moncone Ti-Base, accessorio presente nei software CAD-CAM, e l’ExaConnect è disponibile in varie altezze gengivali (GH 1,5 – 3 – 5 mm) e varie angolazioni (7,5°, 15° e ora anche 25°).
Il seguente caso clinico riguarda un paziente di sesso maschile di 35 anni, non fumatore, senza patologie di rilievo. Dato che l’elemento naturale in posizione 1.4 non è recuperabile, si procede con l’inserimento di un impianto post-estrattivo immediato 4,1×12 mm, applicando un tappo di guarigione Standard GH 3 (Fig. 1).

Fig. 1 – Radiografia post-intervento: impianto XCN® Classix 4,1 x 12 mm con tappo di guarigione Standard GH 3 mm
Dopo 4 mesi si rimuove il tappo di guarigione (Figg. 2, 3) e si decide di procedere con una corona avvitata su ExaConnect.

Fig. 2 – Situazione clinica dopo 4 mesi di guarigione 
Fig. 3 – Visione del tunnel transmucoso dopo rimozione del tappo di guarigione
Si determina l’inclinazione dell’impianto e la profondità del tramite transmucoso con l’Abutment Gauge (Fig. 4) e successivamente si inserisce un ExaConnect angolato a 15° GH 3 mm (Figg. 5-7). Per proteggere l’ExaConnect durante l’attivazione nell’impianto, si avvita la vite di guarigione sul connettore che funge da appoggio per la punta in titanio del percussore (Figg. 8-10).
Si avvita poi il Ti-Base da scansione sopra l’ExaConnect, sul quale viene posizionato lo Scan Body Pyramid e si prende un’impronta ottica con lo scanner intraorale Carestream (Figg. 11-14).

Fig. 4 – Misurazione del tramite transmucoso e rilevamento dell’inclinazione degli impianti con l’Abutment Gauge 
Fig. 5 – Inserimento di un ExaConnect angolato a 15° GH 3 mm 
Fig. 6 – Orientamento dell’ExaConnect 
Fig. 7 – Rimozione della vite polifunzionale 
Fig. 8 – Posizionamento della vite di guarigione sopra l’ExaConnect 
Fig. 9 – Posizionamento della vite di guarigione sopra l’ExaConnect 
Fig. 10 – Attivazione dell’ExaConnect nell’impianto con il percussore con punta in titanio, battendo sulla vite di guarigione 
Fig. 11 – Avvitamento del Ti-Base da scansione sopra l’ExaConnect 
Fig. 12 – Avvitamento del Ti-Base da scansione sopra l’ExaConnect 
Fig. 13 – Collocazione dello Scan Body sopra il Ti-Base da scansione per la scansione intraorale 
Fig. 14 – Dopo la scansione intraorale, riposizionamento della vite di guarigione sopra l’ExaConnect
Il file viene inviato al laboratorio che realizza con il software Exocad una corona in zirconia. Dopo aver effettuato una prova in bocca della corona posizionata sul Ti-Base da laboratorio e da scansione (Figg. 15-17), il laboratorio incolla la corona sul moncone Ti-Base definitivo e alla seduta successiva si procede all’avvitamento della corona sull’ExaConnect (Figg. 18-22).
Negli intervalli tra una seduta e l’altra, l’ExaConnect viene protetto dalla sua vite di guarigione. Per la presa dell’impronta ottica, durante le fasi di laboratorio e di prova in bocca, si usa il Ti-Base da laboratorio e da scansione per non rovinare il peculiare sistema d’ingaggio frizionante tra il Ti-Base definitivo e l’ExaConnect, realizzato tramite le facce coniche del suo esagono esterno che, assieme alla grande dimensione della vite di serraggio, mettono al riparo da svitamenti accidentali della corona.

Fig. 15 – Rimozione della vite di guarigione 
Fig. 16 – Rimozione della vite di guarigione 
Fig. 17 – Prova della corona in zirconia in bocca; la corona è fissata provvisoriamente sul Ti-Base da scansione/laboratorio 
Fig. 18 – Corona fissata sul moncone Ti-Base definitivo e avvitata sull’ExaConnect 
Fig. 19 – Serraggio della vite con il cricchetto dinamometrico protesico a 20 Ncm 
Fig. 20 – Foro della vite chiuso con composito, dopo aver protetto la testa della vite con Guttaperca 
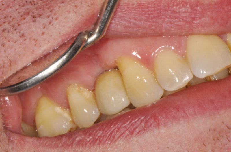
Fig. 21 – Corona in zirconia in situ 
Fig. 22 – Radiografia di controllo
Corone unite a connessione conometrica
La Leone ha introdotto di recente anche un’alternativa cement-free per corone unite, ponti e full-arch: la protesi conometrica. La protesi conometrica si basa su un moncone conometrico chiamato “MUA-Conic” e una cappetta conometrica in PEEK fissata nella protesi, che si connette per frizione al moncone. Il moncone MUA-Conic viene assemblato in laboratorio avvitando l’adattatore Conic sul moncone MUA. Il laboratorio realizza la protesi sulla base di un’impronta presa al livello dell’impianto, tenendo conto dell’ingombro del moncone MUA-Conic e della cappetta conometrica. La cappetta conometrica in PEEK viene poi unita in bocca alla protesi, la quale viene rimossa, ripulita dai residui di cemento e riattivata sui monconi MUA-Conic. Questo metodo di lavoro ci permette di realizzare corone unite, ponti e full-arch perfettamente puliti e privi di eventuali residui di cemento.
Il caso clinico esemplificativo riguarda un paziente di sesso maschile di 70 anni, non fumatore, sottoposto ad intervento di sostituzione di valvola cardiaca. Prima dell’intervento cardiochirurgico si era reso necessario bonificare il IV quadrante. Dopo nove mesi si inseriscono due impianti XCN® 3,3×8 mm e 3,3×10 mm in posizione 4.4 e 4.5, in osso quindi perfettamente guarito (Fig. 1).

Fig. 1 – Radiografia post-intervento: due impianti XCN® Classix 3,3×8 mm e 3,3×10 mm con tappi di chiusura
Il rientro chirurgico è dopo 3 mesi e, visto il buon parallelismo degli impianti, si decide di provvedere alla protesizzazione con corone conometriche in metalloceramica.
Si prende un’impronta tradizionale e con l’Abutment Gauge si rilevano l’inclinazione degli impianti e la misura del tramite transmucoso (Figg. 2-7).

Fig. 2 – Visione dei tappi di guarigione al momento della presa dell’impronta 
Fig. 3 – Rimozione dei tappi di guarigione 
Fig. 4 – Inserimento dei transfer negli impianti 
Fig. 5 – Inserimento dei transfer negli impianti 
Fig. 6 – Misurazione del tramite transmucoso e rilevamento dell’inclinazione degli impianti 
Fig. 7 – Impronta con i transfer, impronta dell’antagonista e morso
In laboratorio vengono scelti i monconi MUA e si avvitano gli adattatori Conic sui MUA per trasformarli in monconi MUA-Conic. Una volta posizionate le cappette Fixed sopra i monconi MUA-Conic, inizia il flusso digitale con digitalizzazione del modello di gesso con lo scanner 3D Open Technologies, disegno CAD e fresaggio CAM con software Exocad delle corone unite assieme (Figg. 8-14).

Fig. 8 – Scansione del modello in gesso e delle cappette Fixed posizionate sui monconi MUA-Conic attivati negli analoghi 
Fig. 9 – Disegno CAD di due corone unite 
Fig. 10 – Disegno CAD di due corone unite 
Fig. 11 – Disegno CAD di due corone unite 
Fig. 12 – Disegno CAD di due corone unite 
Fig. 13 – Disegno CAD di due corone unite 
Fig. 14 – Disegno CAD di due corone unite
Il laboratorio invia i monconi MUA-Conic, le cappette Fixed (non ancora fissate nella protesi) e le corone unite in studio per la consegna. Dopo aver provato monconi, cappette e corone unite (Figg. 15-17), i monconi MUA-Conic vengono inconati negli impianti con l’ausilio del percussore con la punta in PEEK. Si controlla il serraggio degli adattatori Conic con il cricchetto dinamometrico protesico e si attivano le cappette Fixed (Figg. 18, 19). A quel punto le corone unite vengono cementate alle cappette Fixed e si rimuove il tutto per ripulire perfettamente il manufatto dai residui di cemento (Figg. 20, 21). Successivamente si riattivano le corone unite (Figg. 22, 23).

Fig. 15 – Prova dei monconi MUA-Conic, delle cappette Fixed e delle corone unite senza attivare le connessioni 
Fig. 16 – Prova dei monconi MUA-Conic, delle cappette Fixed e delle corone unite senza attivare le connessioni 
Fig. 17 – Prova dei monconi MUA-Conic, delle cappette Fixed e delle corone unite senza attivare le connessioni 
Fig. 18 – Controllo del serraggio degli adattori Conic a 20 Ncm dopo aver attivato i monconi MUA-Conic con il percussore con punta in PEEK 
Fig. 19 – Attivazione delle cappette Fixed sui monconi MUA-Conic con 1 solo colpo di percussore con la punta in PEEK 
Fig. 20 – Rimozione delle corone unite dopo averle cementate sulle cappette Fixed 
Fig. 21 – Corone unite ripulite dai residui di cemento e lucidate 
Fig. 22 – Attivazione delle corone unite sui monconi MUA-Conic con la punta in PEEK 
Fig. 23 – Corone unite in situ
Realizzazioni protesiche:
Laboratorio Odontotecnico L.O.R.I. – Padova
