Autori: Dott. Alberto Frezzato, Dott.ssa Irene Frezzato.
Questo case report riguarda un paziente di 74 anni che arriva alla nostra osservazione per frattura corono-radicolare dell’elemento 21, sottoposto diversi anni prima a trattamento endodontico (Figg. 1, 2).
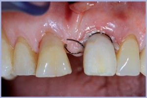
Si esegue la rimozione del perno moncone e l’estrazione atraumatica della radice malacica non recuperabile (Figg. 3-5), cui segue un “mapping” alveolare.
L’alveolo appare integro (Fig. 6) e si decide quindi per un impianto post-estrattivo a carico immediato non funzionale. Si effettua una preparazione osteotomica del sito in tecnica flapless (Fig. 7).
Poiché vi è disponibilità ossea oltre l’apice si decide di posizionare un impianto Max Stability 4,5 x 14 mm (Fig. 8) che ci permette l’ottenimento di un’ottima stabilità primaria.
Si connette immediatamente un moncone temporaneo, si riempie il gap impianto-parete alveolare con biomateriale MBCP+ granulometria 0,5-1 mm e si prepara chair-side una corona provvisoria (Figg. 9, 10).
Le radiografie post-operatorie confermano sia la corretta direzione dell’asse implantare che la corretta assialità mesio-distale (Figg. 11, 12).
Dopo 5 settimane si decide di applicare una corona provvisoria più ampia per ottenere un condizionamento ottimale dei tessuti perimplantari (Figg. 13, 14).
A maturazione tissutale avvenuta (Figg. 15, 16), si procede alla finalizzazione protesica con corona in metallo-ceramica su moncone in titanio adeguatamente fresato. La cementazione avviene fuori del cavo orale e la connessione dell’assieme corona-abutment all’impianto avviene per applicazione di una forza impulsiva sulla corona opportunamente protetta (Figg. 17, 18).
La riabilitazione implanto-protesica appare molto ben integrata nell’estetica orale del paziente (Fig. 19).
Il controllo radiografico alla consegna evidenzia i corretti livelli ossei e il corretto fitting del restauro protesico (Fig. 20).
Laboratorio Ceramodent di Paolo Morbiato e C. – Padova
- Fig. 1 – Quadro iniziale. Immagine radiografica della frattura corono-radicolare dell’elemento 21
- Fig. 2 – Quadro iniziale. Visione frontale
- Fig. 3 – Perno moncone rimosso
- Fig. 4 – Visione assiale della radice fratturata
- Fig. 5 – Estrazione dei frammenti radicolari dell’elemento 21
- Fig. 6 – Alveolo post-estrattivo dopo l’estrazione
- Fig. 7 – Preparazione osteotomica del sito implantare
- Fig. 8 – Inserimento di un impianto Max Stability 4,5 x 14 mm
- Fig. 9 – Connessione del moncone temporaneo all’impianto; bioinnesto nel gap implanto-alveolare
- Fig. 10 – Applicazione della corona provvisoria
- Fig. 11 – Immagine radiografica a fine intervento. L’assialità mesio-distale dell’impianto è corretta. ll moncone temporaneo risulta radiotrasparente
- Fig. 12 – Radiografia endorale in latero-laterale. La direzione dell’asse implantare è corretta
- Fig. 13 – Rimozione della corona provvisoria dopo 5 settimane dall’intervento
- Fig. 14 – Applicazione di una corona provvisoria più ampia per un condizionamento ottimale dei tessuti
- Fig. 15 – Tragitto mucoso alla consegna, dopo 3 mesi e mezzo dall’intervento. Immagine assiale
- Fig. 16 – Maturazione tissutale dopo il condizionamento con il provvisorio
- Fig. 17 – Cementazione extra-orale della corona definitiva sul moncone in titanio
- Fig. 18 – Consegna della corona definitiva
- Fig. 19 – Valutazione del sorriso al momento della consegna
- Fig. 20 – Controllo radiografico alla consegna




















