Autore: Dott. Riccardo Della Ciana.
Questo articolo vuole cercare di riscoprire e rivalutare l’operato degli implantologi italiani che negli anni ‘60, con i mezzi allora a disposizione, mettevano in atto il carico immediato implantare. L’implantologia di Scuola Italiana otteneva percentuali di successo di tutto rispetto, considerando le scarse risorse tecniche dell’epoca: scarsa decontaminazione e sterilizzazione delle superfici implantari, mancata conservazione della sterilità e dell’integrità delle superfici stesse, assenza di motori chirurgici dedicati (con irrigazione o torque control a ridotto numero di giri).
Ciò nonostante, furono realizzate numerose riabilitazioni full arch in modo semplice, rapido, stabile, predicibile ed economico.
In Italia, infatti, nel 1961 comparve il primo impianto specificamente progettato per il carico immediato (S. Tramonte) dotato di un’area di rispetto biologica e nel 1964 fu introdotto il titanio in implantologia (S. Tramonte). Tra gli anni ‘60 e ‘70 comparvero gli importanti studi istologici di Pasqualini. Nel 1972 Garbaccio elaborò la teoria del bicorticalismo e progettò il relativo impianto.
Dovendo oggi parlare di “Carico Immediato” dobbiamo innanzitutto considerare il diverso significato che i vari autori attribuiscono al termine stesso (Fig. 1).
Se per carico immediato intendiamo quello che è possibile effettuare subito al termine della seduta chirurgica, questo richiede 2 condizioni indispensabili:
1) Una forte “osteoritenzione” iniziale, detta stabilità primaria, riscontrabile con un alto torque d’inserimento.
2) Una solidarizzazione immediata dei pilastri implantari (“Effetto Ferula”).
Questi due fattori servono ad aumentare la ritenzione ossea e a limitare la mobilità delle fixture e, quindi, a contrastare le forze occlusali, raramente assiali, in particolare nel periodo più critico dell’osteointegrazione, quello osteoclastico (4-6 settimane dopo il posizionamento implantare), superato il quale è possibile rimuovere la ferula.
Nel 1972 Pier Luigi Mondani inventò la sincristallizzatrice, una saldatrice intra-orale che consente di solidarizzare tra loro i pilastri implantari (originariamente dati da viti monofasiche) attraverso barre o fili di titanio. Fino ad allora erano utilizzati fili metallici intrecciati e resine acriliche, con un procedimento laborioso e dai risultati incerti.
Con la nuova saldatrice intraorale si potevano facilmente unire, in pochi secondi, le parti emergenti degli impianti con fili di titanio, rendendo la struttura cosi creata eccezionalmente solida e praticamente immodificabile.
La sincristallizzatrice sfrutta l’effetto Joule, un fenomeno ben conosciuto in fisica: il passaggio di corrente in un conduttore produce calore in modo direttamente proporzionale alla resistenza offerta dal conduttore stesso.
Il cuore della sincristallizatrice è costituito da una pinza con ganasce di rame di uno spessore elevato (il rame è uno dei migliori conduttori presenti in natura), le ganasce afferrano le due parti in titanio che devono essere saldate. Al passaggio della corrente, essendo il titanio un pessimo conduttore (alta resistenza), viene prodotto molto calore, proprio nell’interfaccia tra le due superfici di titanio, superando così il punto di fusione del metallo. Le interfacce tra il titanio e il rame producono un calore trascurabile e ben assorbito dall’elevato spessore del rame.
Per ogni saldatura vengono prodotti due impulsi a brevissima distanza tra loro. Il primo, più debole, serve a rompere il reticolo cristallino del titanio. Il secondo, ad altissimo voltaggio per un tempo brevissimo, permette l’interdigitazione dei prismi del titanio (cristalli), che risultano così solidarizzati dal processo definito sincristallizazione.
Recentemente stiamo assistendo ad una riscoperta della tecnica della saldatura intra-orale come dimostrano gli ormai numerosi lavori pubblicati sul tema.[1,2,3,4,5,6]
Da queste premesse nasce l’idea di realizzare il carico immediato implantare con un impianto senza viti, a connessione conica pura con un moncone pieno in titanio.
L’impianto Leone presenta un ottimo torque d’inserimento iniziale ed il moncone in titanio pieno si presta perfettamente ad essere saldato, con la sincristallizzatrice, ad un filo di titanio di grado 2 e del diametro di 1,2 mm.
Ho quindi iniziato ad utilizzare questa tecnica, in alcuni casi terminali di pazienti parodontopatici.
Bisogna considerare che il controllo e la prevenzione delle infezioni perimplantari, in questi pazienti, è di fondamentale importanza, e la struttura, realizzata con impianti a connessione conica, moncone pieno e ferula in titanio saldata ai monconi, si rivela essere particolarmente resistente alla colonizzazione microbica, specie se paragonata a quella con struttura avvitata e monconi cavi.
Le estrazioni ed il posizionamento degli impianti vengono effettuati nella stessa seduta chirurgica, al termine della quale si effettua la saldatura del filo, lingualmente ed alla base dei monconi. Subito dopo si procede alla ribasatura, rifinitura e lucidatura delle protesi tipo Toronto Bridge provvisorie. Le stesse vengono poi cementate sui monconi in titanio con un cemento provvisorio.
L’intera struttura protesica cosi realizzata presenta, a mio parere, i seguenti vantaggi:
1) Resistenza meccanica: la struttura è particolarmente resistente, non ci sono viti che si possano rompere o svitare nel tempo, la connessione conica dei monconi, sotto carico masticatorio, non si modifica o casomai aumenta. Le saldature sono resistentissime, si realizzano in pochi secondi (e si rimuovono con pochi passaggi di fresa). La protesi tipo Toronto Bridge, ben ribasata e cementata con TempBond (o altro cemento provvisorio), poggia sulla struttura e, in caso di decementazione, l’effetto ferula viene comunque garantito dal filo in titanio sottostante.
2) Sicurezza biologica: la connessione conica dei monconi agli impianti è praticamente impermeabile ai batteri e non consente la colonizzazione dell’interno dell’impianto impedendo quei fenomeni che possono portare alla formazione di mucosite e peri-implantite. Le saldature, a differenza delle connessioni avvitate, non hanno cavità interne e tutte le superfici possono essere raggiunte facilmente dal colluttorio e/o dall’idropulsore; non esiste una cavità da “brodo batterico” non detergibile come quella che si crea tra le spire di una vite e la cavità in cui è alloggiata.
La protesi cementata è, come tale, più resistente all’infiltrazione batterica di quella avvitata.[7]
Si riportano di seguito due casi clinici esemplificativi.
Caso 1
Si presenta in studio un paziente affetto da una grave parodontopatia in stadio terminale (Figg. 2-9).
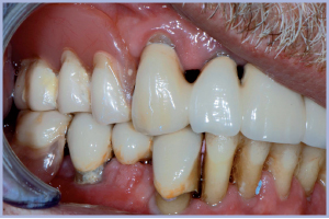
In una stessa seduta chirurgica sono stati estratti tutti i denti e posizionati sei impianti Leone per arcata. Nell’arcata superiore gli impianti distali, sui quali era stato effettuato un rialzo del seno mascellare, non sono stati caricati immediatamente (Fig. 10). Sugli altri dieci impianti sono stati posizionati subito anche i relativi monconi e poi vi si è elettrosaldato un filo di titanio di grado 2 dello spessore di 1,2 mm (Fig. 11).
Sempre nella stessa seduta sono state ribasate sui monconi (come mostrato in Fig. 17) le protesi provvisorie precedentemente preparate (Figg. 12-16) e cementate con un cemento provvisorio.
Dopo tre mesi, rimosse le protesi provvisorie, in pochi minuti veniva tolto il filo di titanio saldato ai monconi utilizzando una fresa per titanio.
Nella figura 18 vediamo, a 3 mesi, il perfetto stato dei tessuti molli e la totale assenza di mucosite e/o flogosi peri-implantare.
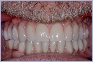
Dopo aver effettuato una leggera preparazione e lucidatura dei monconi, si procede all’impronta di precisione per la protesi definitiva: un circolare in metallo ceramica (Fig. 19).
- Fig. 2
- Fig. 3
- Fig. 4
- Fig. 5
- Fig. 6
- Fig. 7
- Fig. 8
- Fig. 9
- Fig. 10
- Fig. 11
- Fig. 12
- Fig. 13
- Fig. 14
- Fig. 15
- Fig. 16
- Fig. 17 – Da: Squillantini P, Odontoline – forum, Implantologia di Scuola italiana, pag. 3
- Fig. 18
- Fig. 19
Caso 2
Trattasi di un caso non parodontale: la paziente, una signora di 55 anni, si è presentata in studio con la frattura del pilastro mesiale (44) di un ponte 44-47 (Figg. 20, 21), chiedendo di essere riabilitata con impianti. Chiedeva, al contempo, di non restare con la sella edentula per tutto il periodo dell’osteointegrazione.
Il piano terapeutico prevedeva impianti con corone singole in posizione 44 (post-estrattivo immediato), 45 e 46 e corona sull’elemento 47 (trattato con terapia canalare).
Gli impianti sono stati caricati immediatamente con provvisori, previa elettrosaldatura di un filo in titanio sui monconi (Fig. 22). Dopo la rimozione del filo di titanio e dei monconi a 3 mesi e la presa delle impronte con tecnica indiretta, abbiamo realizzato i modelli (Figg. 23-25).
Le corone in disilicato di litio (e-Max) sono state realizzate in tecnica CAD-CAM previa scansione dei modelli (Figg. 26-35). Sono poi state cementate extra-oralmente (Fig. 36) e quindi inconate singolarmente in bocca (Figg. 37-41). La corona singola sul 47 è stata fissata con cementazione adesiva. Il controllo radiografico con OPT a 1 anno (Fig. 42) evidenzia il perfetto livello osseo peri-implantare.
- Fig. 20
- Fig. 21
- Fig. 22
- Fig. 23
- Fig. 24
- Fig. 25
- Fig. 26
- Fig. 27
- Fig. 28
- Fig. 29
- Fig. 30
- Fig. 31
- Fig. 32
- Fig. 33
- Fig. 34
- Fig. 35
- Fig. 36
- Fig. 37
- Fig. 38
- Fig. 39
- Fig. 40
- Fig. 41
- Fig. 42
Realizzazioni protesiche: Laboratorio odontotecnico Armando Mellace – Roma
Bibliografia:
1) Degidi M, Daprile G, Piattelli A. Implants inserted with low insertion torque values for intraoral welded full-arch prosthesis: 1-year follow-up. Clin Implant Dent Relat Res 2012;14 Suppl 1:e39-45
2) Degidi M, Nardi D, Piattelli A. Prospective study with a 2-year follow-up on immediate implant loading in the edentulous mandible with a definitive restoration using intra-oral welding. Clin Oral Implants Res 2010;21(4):379-85
3) Degidi M, Nardi D, Piattelli A. Immediate loading of the edentulous maxilla with a definitive restoration supported by an intraorally welded titanium bar and tilted implants. Int J Oral Maxillofac Implants 2010;25(6):1175-82
4) Degidi M, Nardi D, Piattelli A. Immediate definitive rehabilitation of the edentulous patient using an intraorally welded titanium framework: a 3-year prospective study. Quintessence Int 2010;41(8):651-9
5) Degidi M, Gehrke P, Spanel A, Piattelli A. Syncrystallization: a technique for temporization of immediately loaded implants with metal-reinforced acrylic resin restorations. Clin Implant Dent Relat Res 2006;8(3):123-34
6) Fanali S, Vannini F, Impianti bifasici solidarizzati con sincristallizzatrice endorale, Doctor Os 2007;18(9):1047-1055
7) Keller W, Brägger U, Mombelli A. Peri-implant microflora of implants with cemented and screw retained suprastructures. Clin Oral Implants Res 1998;9(4):209-217









































