Autore:
Dr. Leonardo Targetti
Libero professionista a Firenze
Il significato del “successo in implantoprotesi” è notevolmente mutato negli anni. In passato l’unica cosa importante era avere una sufficiente stabilità meccanica dell’impianto per supportare il carico protesico. Con Brånemark è poi subentrato il concetto di osteointegrazione degli impianti e della sua durata nel tempo. Oggi il successo in implantoprotesi riguarda il mantenimento nel tempo sia dell’osteointegrazione, che dei tessuti duri e molli e quindi dell’estetica.
Il primo fattore chiave per il mantenimento nel tempo dei tessuti duri e molli è la RESISTENZA STRUTTURALE del sistema implantare utilizzato. La normativa internazionale ISO 14801 ha stabilito le linee guida per l’esecuzione di test meccanici. Mettendo a confronto i valori di resistenza a fatica dichiarati da diverse aziende concorrenti, si evince una maggiore resistenza strutturale della connessione a cono Morse Leone, rispetto a qualsiasi connessione avvitata (Figg. 1 e 2).

Fig. 1* – Confronto valori di resistenza a fatica dichiarati da diverse aziende concorrenti – impianti di diametro standard 
Fig. 2** – Confronto valori di resistenza a fatica dichiarati da diverse aziende concorrenti – impianti di piccolo diametro
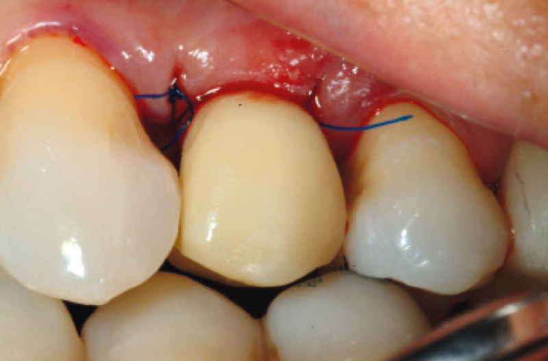
Il secondo fattore chiave per il mantenimento dell’estetica nel tempo è il SIGILLO MICROBIOLOGICO della connessione impianto-moncone. Grazie alla connessione a cono Morse Leone, i tessuti perimplantari vengono disturbati meno, rendendo possibili eccellenti guarigioni e il mantenimento dei tessuti duri e molli negli anni (Figg. 3 – 5).

Figg. 3, 4 – Eccellente guarigione dei tessuti molli alla rimozione dei tappi di guarigione 
Fig. 4 
Fig. 5a – Alla consegna 
Fig. 5b – Follow up a 14 anni. Mantenimento dei tessuti negli anni
Il terzo fattore chiave per il successo in implantoprotesi è la VERSATILITÀ CHIRURGICA E PROTESICA del sistema implantare. Innanzitutto la sistematica Leone offre diverse forme implantari (Fig. 6) per tutte le situazioni di chirurgia, strumenti chirurgici sicuri e semplici da usare, ma anche un ampliamento delle tecniche chirurgiche, come la possibilità del posizionamento endocrestale dell’impianto e dell’utilizzo della tecnica monofasica. Anche la versatilità protesica è estremamente importante. Un’ampia offerta non solo di monconi per protesi cementata (Fig. 7) ma anche per protesi avvitata, sia singola con il connettore ExaConnect, che su elementi multipli con i monconi MUA (Fig. 8). Oggi il sistema Leone offre in alternativa anche una nuova strada, utilizzando come sistema di fissaggio tra moncone e protesi la conometria. Con questo nuovo sistema di ancoraggio si possono realizzare protesi fisse, rimovibili ed elettrosaldate (Fig. 9).

Fig. 6 – Diverse forme implantari del sistema XCN® Leone 
Fig. 7 – Monconi per protesi cementata del sistema XCN® Leone 
Fig. 8 – Monconi per protesi avvitata del sistema XCN® Leone 
Fig. 9 – Accessori per protesi conometrica del sistema XCN® Leone
La SEMPLICITÀ DI UTILIZZO è il quarto fattore chiave per il successo in implantoprotesi, ovvero disporre di prodotti e di procedure che rendono le pratiche implantoprotesiche alla portata di tutti. L’uso del moncone temporaneo in PEEK per il carico immediato di un dente singolo (moncone che può essere preparato facilmente in bocca al paziente) e la cementazione extra-orale, ne sono degli esempi (Figg. 10-17).

Fig. 10 – Situazione clinica iniziale 
Fig. 11 – Inserimento di un impianto Classix 4,1 
Fig. 12 – Moncone temporaneo preparato in bocca 
Fig. 13 – Corona provvisoria su moncone temporaneo in situ 
Fig. 14 – Ad osteointegrazione avvenuta: rimozione del moncone temporaneo 
Fig. 15 – Corona cementata extra-oralmente sul moncone 
Fig. 16 – Inserimento del manufatto protesico definitivo nell’impianto 
Fig. 17 – Manufatto protesico definitivo in situ
Il quinto fattore chiave per il successo è infine offrire PRESTAZIONI DI VALORE. Il miglior marketing etico è fornire prestazioni di valore, adoperando prodotti di valore. Con questo comportamento riusciremo anche a instaurare una relazione di valore con il nostro paziente.
Realizzazioni protesiche:
Laboratorio Odontotecnico Sig. Alessandro Nannucci – Firenze
Per Visualizzare il Webinar del Dr. Targetti accedere all’area riservata Leone.
