Autore: Dott. Massimo Alteri.
Nei settori anteriori l’impiego di impianti post-estrattivi immediati risponde alla domanda di riduzione dei tempi di trattamento e consente di indirizzare il comportamento biologico dei tessuti duri e molli grazie alla preservazione dei volumi ossei. Appare evidente che oggi la scelta terapeutica va verso la conservazione del tessuto osseo e dei tessuti gengivali, quali elementi fondamentali per la riuscita estetica e funzionale di una riabilitazione implantoprotesica; è quindi importante valutare la validità in termini di durata di elementi dentari che, se rimossi per tempo, non causano importanti perdite dei tessuti di sostegno. È altresì importante l’utilizzo di tutta la tecnologia innovativa, come ormai l’indubbia validità della connessione a cono Morse dell’impianto Leone, priva di micro gap tra fixture e abutment con un notevole vantaggio per i tessuti perimplantari.
L’obbiettivo primario nelle riabilitazioni frontali è l’estetica e questa interessa oltre ai tessuti perimplantari anche i manufatti protesici. In questo caso clinico i manufatti protesici sono realizzati con materiali e metodi nuovi: monconi MultiTech, pilastri costruiti in disilicato, corone in ceramica integrale feldspatica, sistema di rilevazione delle impronte ottiche Cerec (Sirona) e realizzazione CAD-CAM delle corone in studio con il fresatore Inlab (Sirona).
La paziente, di anni 46, si presenta con i due incisivi centrali superiori compromessi (Figg. 1, 2) da un evento traumatico avvenuto in età giovanile che ha comportato nel corso degli anni una serie di cure che, ad un’analisi radiologica (Fig. 3), evidenziano una sofferenza parodontale, causa dell’estrusione di questi elementi dentari. Il piano di trattamento prevede l’estrazione degli incisivi e l’inserimento di due impianti post-estrattivi immediati Leone. La paziente può essere classificata come un biotipo gengivale spesso, il quale favorisce questa scelta terapeutica.
L’estrazione degli elementi 11 e 21 (Figg. 4, 5) è seguita da un accurato controllo della cavità alveolare (Fig. 6). La preparazione dei siti implantari in tecnica flapless non segue il tragitto radicolare originale ma viene inclinata in senso palatale lasciando uno spazio tra impianto e cresta residua, che sarà riempito da un innesto di tessuto osseo autologo, prelevato durante la preparazione dei siti, misto a osso sintetico (Fig. 7). Si inseriscono con tecnica bifasica due impianti Leone di diametro 4,8 mm in posizione sotto crestale (Figg. 8, 9) e, dopo aver posizionato la miscela di osso autologo e sintetico, si sutura la zona (Fig. 10). Si applica a fine intervento un provvisorio fissato ai denti adiacenti (Fig.11).
Gli impianti vengono riaperti a 6 mesi dall’intervento per l’applicazione dei tappi di guarigione (Figg. 12, 13). Dopo aver lasciato maturare il tessuto gengivale per 4 settimane (Figg. 14-16) i due impianti sono pronti per essere protesizzati.
Grazie all’utilizzo delle nuove tecnologie digitali la presa dell’impronta, la fabbricazione del restauro protesico definitivo e la sua consegna si svolgono in un’unica seduta. Come prima cosa si provano i monconi MultiTech (Fig. 17) e si condizionano per circa 15 minuti i tessuti gengivali con le cappette calcinabili del moncone MultiTech (Figg. 18-20). Secondo una tecnica da me personalizzata le cappette calcinabili servono anche per rilevare un’impronta in elastomero (Fig. 21) che ci permette di sviluppare un modello in gesso (Fig. 22). Si scarica il modello intorno ai monconi per poter scannerizzare bene la posizione dei monconi MultiTech sul modello. Si progettano con il software due monconi in disilicato per poi realizzarli in studio con tecnologia CAD-CAM. I monconi in disilicato ancora non cristallizzati vengono provati sul modello (Fig. 23) e poi in bocca (Figg. 24, 25) prima di essere rifiniti e cristallizzati. Infine si cementano extra-oralmente sui monconi MultiTech (Figg. 26-28). Questa tecnica ci permette la completa rimozione del cemento ed è inoltre possibile lucidare la giunzione tra le due parti favorendo ancora di più la salute dei tessuti gengivali. In seguito all’inconamento definitivo dei moncone MultiTech personalizzati (Fig. 29, 30), si prende un’impronta ottica e si realizzano, sempre in studio e nella stessa seduta, con tecnologia CAD-CAM le due corone in ceramica integrale feldspatica (Figg. 31-33). Infine, le due corone vengono cementate sui monconi (Figg. 34-36). Come si può notare l’estetica dei tessuti è anche legata ai materiali utilizzati per la realizzazione del moncone e della corona, che lasciano passare la luce. Il controllo clinico a 5 mesi dalla consegna delle protesi (Fig. 37) conferma il mantenimento nel tempo del risultato estetico ottenuto.
- Figg. 1, 2 -Vista dei due incisivi centrali superiori compromessi
- Fig. 2
- Fig. 3 – Ortopanoramica iniziale
- Figg. 4, 5 – Estrazione degli elementi 11 e 21
- Fig. 5
- Fig. 6 – Controllo della cavità alveolare
- Fig. 7 – Preparazione della miscela tessuto autologo e osso sintetico
- Fig. 8 – Impianti Leone Ø 4,8 con tappi di chiusura
- Fig. 9 – Ortopanoramica post-intervento
- Fig. 10 – Innesto osseo posizionato e sutura della zona
- Fig. 11 – Protesi provvisoria fissata ai denti adiacenti
- Figg. 12, 13 – Riapertura e applicazione dei tappi di guarigione
- Fig. 13
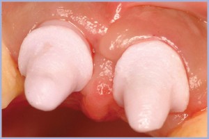
- Figg. 14-16 – Tessuto gengivale maturato
- Fig. 15
- Fig. 16
- Fig.17 – Prova dei monconi Leone MultiTech
- Figg. 18-20 – Condizionamento dei tessuti con i preformati calcinabili del moncone MultiTech
- Fig. 19
- Fig. 20
- Fig. 21 – Impronta in elastomero
- Fig. 22 – Modello in gesso
- Fig. 23 – Monconi in disilicato creati con tecnologia CAD-CAM, non ancora cristallizzati
- Figg. 24, 25 – Prova in bocca dei monconi in disilicato non ancora cristallizzati
- Fig. 25
- Figg. 26-28 – Cementazione extra-orale dei monconi in disilicato cristallizzati sui monconi MultiTech
- Fig. 27
- Fig. 28
- Figg. 29, 30 – Inconamento dei monconi MultiTech personalizzati
- Fig. 30
- Figg. 31-33 – Presa di un impronta ottica per la creazione delle due corone in ceramica integrale feldspatica
- Fig. 32
- Fig. 33
- Figg. 34-36 – Corone cementate sui monconi
- Fig. 35
- Fig. 36
- Fig. 37 – Controllo clinico a cinque mesi dalla consegna della protesi
Realizzazioni protesiche: Studio Associato Alteri, Civita Castellana – VT





































