Autore: Dr. Leonardo Palazzo.
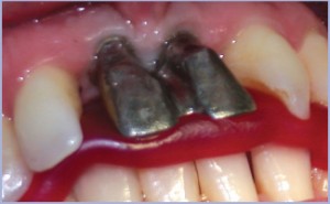
Paziente donna di anni 48. Sono estratti gli elementi 11 e 21. In seguito si inseriscono due impianti con tecnica chirurgica monofasica (fig. 1-6). Dopo aver atteso il periodo di osteointegrazione, si rimuovono i tappi di guarigione (fig. 7). Si apprezza particolarmente la salute e l’incremento dei tessuti molli ottenuto applicando la tecnica monofasica (fig. 8). Si posizionano i transfer negli impianti e si prende l’impronta (fig. 9). In laboratorio sono stati preparati i monconi e la struttura metallica. Prima di fissare definitivamente i monconi e la protesi in bocca, si effettua una prova della struttura metallica con i monconi inseriti negli impianti, ma non attivati (fig. 10).
A seguito del risultato positivo della prova, il laboratorio ha terminato la protesi (figg. 11,12).
- Fig. 1
- Fig. 2
- Fig. 3
- Fig. 4
- Fig. 5
- Fig. 6
- Fig. 7
- Fig. 8
- Fig. 9
- Fig. 10
- Fig. 11
- Fig. 12
Realizzazioni protesiche:Â Laboratorio Wilocs di Roma












