Autori: Dott.ssa Irene Frezzato, Dott. Alberto Frezzato.
Si presenta come urgenza alla nostra osservazione una paziente di anni 40 per frattura di incisivo superiore centrale destro in seguito a trauma accidentale di modesta entità.
Tale elemento dentale era stato ricoperto con corona metal-ceramica circa vent’anni prima.
La paziente si presenta con la corona dell’elemento dentale completamente staccata dalla radice ed esprime una netta situazione di disagio e di preoccupazione per la sua estetica e per la funzionalità della sua bocca.
La sua attività lavorativa e la sua vita sociale le fanno richiedere un trattamento scarsamente invasivo ed un risultato estetico.
L’anamnesi generale è sostanzialmente negativa. A carico dell’apparato stomatognatico risultano pregressi, datati interventi di conservativa su alcuni elementi dentari e alcuni elementi di protesi.
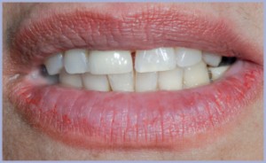
L’esame obiettivo evidenzia un sorriso di tipo gengivale con piena esposizione della zona interessata, un biotipo parodontale spesso e scarsamente festonato (fig. 1).
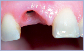
La frattura coronale si estende parzialmente alla radice, con una rima obliqua mesialmente ad estensione intraossea (fig. 2).
Il sondaggio evidenzia un coinvolgimento dell’ampiezza biologica con una profondità infraossea di circa 2 mm (fig. 3).
La radiografia endorale conferma tale dato (fig. 4).
La formulazione del piano di trattamento deve considerare diversi aspetti (biologico, estetico, chirurgico, implantare, protesico) trattandosi di un caso di assoluta valenza estetica.
Da escludere la possibilità di recupero dell’elemento dentale attraverso endodonzia e chirurgia parodontale resettiva per allungamento di corona clinica, che comporterebbe un dislivello tissutale non mantenibile igienicamente ed una estetica inaccettabile.
Da escludere il recupero radicolare mediante estrusione ortodontica, per il rapporto sfavorevole corona-radice che risulterebbe alla fine di tale trattamento. Inoltre, il trattamento endodontico appare di non sicuro successo, essendo la radice già stata trattata in modo inadeguato.
L’elemento dentale appare quindi non recuperabile e destinato alla estrazione.
Una volta eseguita l’estrazione radicolare, si pone la scelta del tipo di protesi più adeguato alla sostituzione dell’elemento mancante.
La presenza di un diastema interincisivo e la volontà di non ricoprire i denti vicini, controindicano una protesi fissa tradizionale in ceramica. Un ponte ad incollaggio viene escluso, perché la paziente desidera preservare il diastema interincisivo che rappresenta una sua caratteristica somatica.
Non rimane che una scelta implantare, che risponda alle esigenze della paziente di non rimanere senza denti e di svolgere la sua attività lavorativa.
Nell’ambito della soluzione implantoprotesica la scelta cade necessariamente su un impianto post-estrattivo immediato con provvisorio immediato, non funzionalizzato, che permetta di salvaguardare l’estetica fin dal giorno dell’intervento, come richiesto dalla paziente. Tale scelta viene discussa, illustrata ed accettata dalla paziente.
Le valutazioni di carattere estetico (sorriso gengivale), l’aspettativa estetica della paziente, consigliano un accrescimento tissutale pre-estrattivo mediante estrusione ortodontica, in modo da compensare il ritiro tissutale conseguente alla guarigione del sito. Si esegue un condizionamento pre-estrattivo del sito implantare mediante Eruzione Forzata (adozione di dispositivo linguale “personalizzato”).
Si incolla la corona protesica dell’incisivo in cemento composito (Super Bond C & B – Morita) nella cui nicchia palatina è stato incollato uno spezzone di filo ricurvo a forma di gancio (fig. 6).
L’eruzione forzata pre-estrattiva si attua mediante dispositivo ortodontico costruito estemporaneamente sul momento: si applicano due bande standard sui molari superiori, invertite dx con sx, in modo che la cannula sia palatina, si modella un filo rettangolare .016x.022 (fig. 5), si dà una piega di seconda Classe alle estremità dell’arco, in maniera che il filo sia sottoslivellato rispetto al piano occlusale degli incisivi, si porta l’arco a livello del gancio dell’incisivo e lo si lega. Il filo, essendo piegato verso il basso, tenderà a riprendere la sua forma iniziale e, in questo movimento, tenderà a portare verso il basso l’incisivo ad esso solidarizzato (fig. 6).
A fine trattamento ortodontico, conclusosi con l’estrusione dell’elemento (figg. 7, 8), si pratica l’estrazione atraumatica della radice, cui segue l’inserimento immediato di impianto Exacone® diametro 4,8 mm lunghezza 12 mm in Tecnica Flapless (figg. 11, 11b), previo sondaggio alveolare in modo da verificare l’integrità delle pareti del sito post-estrattivo (fig. 10).
L’intervento è completato con la connessione immediata di un tappo di guarigione standard altezza 5 mm, utilizzato come moncone, sul quale si modella una corona provvisoria in composito (fig. 12). Si controlla che il provvisorio non abbia nessun contatto occlusale e nessuna funzione in lateralità (carico immediato non funzionale) (figg. 13-15b).
A maturazione tissutale avvenuta (figg. 16a, 16b) si procede alla protesizzazione definitiva mediante corona oro-ceramica (figg. 18, 19).
Si è ottenuto un adeguato ripristino morfo-funzionale in zona ad alta valenza estetica, sottoponendo la paziente ad un trattamento di basso impatto che le ha permesso di non rimanere temporaneamente edentula e di non modificare il suo stile di vita (figg. 18-20b).
- Fig. 1 – Quadro iniziale (corona 1+ incollata provvisoriamente)
- Fig. 2 – Coinvolgimento spazio biologico
- Fig. 3 – Sondaggio
- Fig. 4 – Radiografia iniziale
- Fig. 5 – Arco palatino costruito sul paziente
- Fig. 6 – Dispositivo ortodontico minimamente invasivo
- Fig. 7 – Inizio estrusione ortodontica
- Fig. 8 – Fine estrusione ortodontica
- Fig. 9 – Estrazione atraumatica
- Fig. 10 – Alveolar mapping
- Figg. 11a, b – Posizionamento tridimensionale dell’impianto
- Fig. 12 – Provvisorio immediato su tappo di guarigione
- Fig. 13 – Provvisorio immediato non funzionalizzato
- Fig. 14 – Nessun contatto occlusale
- Figg. 15a, b – Nessuna funzione in lateralità dx e sx
- Fig. 15b
- Figg. 16a, b – Condizionamento dei tessuti molli
- Fig. 16b
- Fig. 17 – Inserimento del moncone
- Fig. 18 – Protesi definitiva preservazione della papilla
- Fig. 19 – Controllo radiografico
- Fig. 20a – Analisi del sorriso “full”
- Fig. 20b – Analisi del sorriso “learned”
- Figg. 21a, b – Confronto radiografico
- Fig. 22a, b – Confronto clinico
- Fig. 22b
Realizzazioni protesiche: Laboratorio odontotecnico Ceramodent di Paolo Morbiato e C. – Padova


























